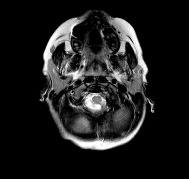
Series (7)
Axial T2

Viêm tiểu não
Nguồn gốc
Dữ liệu bệnh nhân
Bệnh sử lâm sàng
Khởi phát nhanh các triệu chứng đau đầu, cổ vẹo (torticollis) và phù gai thị. Tiền sử đã biết có hội chứng Treacher Collins.
Chẩn đoán & Phát hiện
Cộng hưởng từ (MRI) sọ não
Hình ảnh ghi nhận sự phì đại đơn bên ở bán cầu tiểu não trái, đặc biệt là vùng neocerebellum, với bằng chứng giảm tín hiệu trên xung T1 và tăng tín hiệu trên xung T2 tại phân đoạn bị ảnh hưởng. Các nếp gấp tiểu não (folia) cùng bên xuất hiện phì đại nhẹ, kèm theo biến dạng não thất bốn và lệch thân não sang phải. Có hình ảnh tăng quang màng não mềm (leptomeningeal enhancement) đi kèm. Cả hai não thất bên, não thất ba và sừng thái dương đều giãn rộng. Không thấy hình ảnh (no evidence of) bất thường trong nhu mô não.
Cộng hưởng từ (MRI) sọ não: sau 6 tháng
Tín hiệu tăng trên xung T2 ở bán cầu tiểu não trái trước đó đã được giải quyết. Tín hiệu tăng T2 còn sót lại ở vùng ngoại vi dường như do mất thể tích, dẫn đến tăng dịch não tủy ngoài trục (extra-axial CSF). Tiểu não trái sâu, vermis, và bán cầu tiểu não phải có hình ảnh bình thường.
Các cấu trúc trên lều tiểu não bình thường. Kích thước não thất ba và não thất bên giảm so với trước, phù hợp với cải thiện của tình trạng giãn não thất (hydrocephalus) từng xuất hiện liên quan đến tổn thương tiểu não ban đầu.
DISCUSSION:
Ca lâm sàng này minh họa tầm quan trọng của việc đánh giá toàn bộ các hình ảnh học trong bối cảnh lâm sàng. Hình ảnh viêm tiểu não ở bệnh nhân này rất giống với bệnh Lhermitte-Duclos về mặt hình ảnh học.
Chẩn đoán
Viêm tiểu não (cerebellitis)
Chẩn đoán phân biệt
- 1.Bệnh Lhermitte-Duclos
- 2.U sao bào dạng hoại tử (pilocytic astrocytoma)
- 3.Viêm não tủy sau nhiễm trùng
Điểm giảng dạy
- "Viêm tiểu não có thể biểu hiện bằng hình ảnh phì đại tiểu não đơn bên và tăng tín hiệu T2, dễ nhầm với các bệnh lý khối u hoặc thoái hóa."
- "Tăng quang màng não mềm trong viêm tiểu não gợi ý nguyên nhân viêm hoặc nhiễm trùng."
- "Sự hồi phục hình ảnh trên cộng hưởng từ theo dõi hỗ trợ chẩn đoán viêm thay vì nguyên nhân cấu trúc hoặc khối u."







