Thu, Apr 9
AI Trực tuyến
Series (5)
Sagittal T2

MRI•Sagittal T2•1 Img
Ca bệnhBệnh Lhermitte-Duclos
Bệnh Lhermitte-Duclos
Nguồn gốc
Dữ liệu bệnh nhân
Tuổi5 year
Giới tínhMale
Bệnh sử lâm sàng
Chẩn đoán & Phát hiện
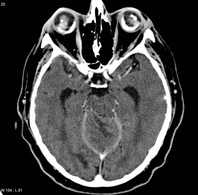
Não
- Phì đại rõ rệt bán cầu tiểu não phải mà không có khối khu trú hay thay đổi dạng nang.
- Bán cầu này đồng tín hiệu trên hình ảnh trọng T1 và tăng tín hiệu trên hình ảnh trọng T2, không thấy tăng quang bất thường.
- Có hiệu ứng khối dương tính rõ rệt tại hố sọ sau, nơi mà đã bị giãn rộng.
- Não thất bốn bị xóa mờ và có giãn các não thất bên (thấy rõ nhất trên hình ảnh T2 cắt ngang).
THẢO LUẬN:
- Những hình ảnh này đặc trưng cho hội chứng Lhermitte-Duclos-Cowden (Lhermitte-Duclos-Cowden syndrome).
Chẩn đoán
- Bệnh Lhermitte-Duclos (Lhermitte-Duclos disease)
Chẩn đoán phân biệt
- 1.U nguyên bào sợi sao tiểu não
- 2.U mạch màng nuôi
- 3.Di căn đến tiểu não
Điểm giảng dạy
- "Bệnh Lhermitte-Duclos là một khối u tiểu não lành tính hiếm gặp, đặc trưng bởi cấu trúc bất thường ở lớp vỏ tiểu não, được phân loại là u tăng sản hạch thần kinh tiểu não."
- "Bệnh có liên quan mạnh đến hội chứng Cowden, một rối loạn u tổ chức nhân do đột biến gen PTEN, cần thực hiện xét nghiệm di truyền và tầm soát ung thư toàn thân."
- "Chụp cộng hưởng từ thường cho thấy tổn thương tiểu não không tăng quang, tín hiệu tăng trên hình ảnh trọng T2, có hiệu ứng khối và xóa mờ não thất bốn, thường thấy hình ảnh 'sọc hổ' trên cắt ngang."
Thảo luận
Bệnh Lhermitte-Duclos, còn gọi là u tăng sản hạch thần kinh tiểu não, là tình trạng tăng trưởng bất thường lành tính của vỏ tiểu não. Đây là dấu hiệu đặc trưng của hội chứng Cowden, một rối loạn trội trên nhiễm sắc thể thường do đột biến gen PTEN, làm tăng nguy cơ u tổ chức nhân và ung thư vú, tuyến giáp, nội mạc tử cung. Hình ảnh học thường rất điển hình: bán cầu tiểu não giãn to lan tỏa, tăng tín hiệu trên trọng T2, không tăng quang, gây hiệu ứng khối và giãn não thất do tắc nghẽn. Hình ảnh 'sọc hổ' trên cộng hưởng từ T2 cắt ngang – do các lá tiểu não xen kẽ tăng và đồng tín hiệu – là đặc hiệu. Chẩn đoán chủ yếu dựa vào hình ảnh học, nhưng sinh thiết có thể cần thiết trong các trường hợp không điển hình. Điều trị bao gồm theo dõi các ung thư liên quan, xử trí triệu chứng và giải áp phẫu thuật nếu có hiệu ứng khối hoặc giãn não thất nặng.


