Series (4)
Axial renal excretory phase

Hội chứng Von Hippel-Lindau - biểu hiện tại thận
Nguồn gốc
Dữ liệu bệnh nhân
Bệnh sử lâm sàng
Đã biết hội chứng Von Hippel-Lindau (VHL). Đang sàng lọc các khối u thận. Bệnh nhân có bàng quang thần kinh. Chụp cộng hưởng từ (MRI) được thực hiện nhằm giảm phơi nhiễm tia phóng xạ.
Chẩn đoán & Phát hiện
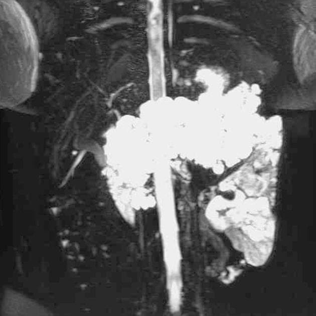
- Nhiều nang thận đơn thuần cũng như nhiều u thận tổn thương hỗn hợp đặc - nang.
- Tuyến tụy cũng chứa một số lượng rất lớn các nang rải rác khắp nơi.
DISCUSSION:
Ca lâm sàng này biểu hiện đầy đủ các đặc điểm của hội chứng Von Hippel-Lindau (VHL), bao gồm nhiều nang thận đơn thuần và nhiều u thận tổn thương hỗn hợp đặc - nang. Tuyến tụy cũng có rất nhiều nang lan tỏa.
Bệnh nhân đã từng được phẫu thuật cắt bỏ u mạch thần kinh đệm (hemangioblastoma) ở tủy sống, gây ra tình trạng bàng quang thần kinh (lưu ý hình ảnh cắt lớp ngang T2 cho thấy dấu hiệu của phẫu thuật cắt mảnh cung (laminectomy) vùng ngực và các thay đổi tại tủy sống).
Không thấy u tế bào ưa crôm (pheochromocytoma).
Chẩn đoán
Hội chứng Von Hippel-Lindau (Von Hippel-Lindau syndrome) - biểu hiện tại thận (renal manifestations)
Chẩn đoán phân biệt
- 1.Bệnh thận đa nang di truyền kiểu trội trên nhiễm sắc thể thường
- 2.Hội chứng xơ cứng củ lao
- 3.Hội chứng u cơ trơn di truyền và ung thư tế bào thận
Điểm giảng dạy
- "Hội chứng Von Hippel-Lindau là một rối loạn di truyền kiểu trội trên nhiễm sắc thể thường, liên quan đến đột biến gen VHL, dẫn đến các khối u và nang ở nhiều cơ quan."
- "Biểu hiện tại thận bao gồm nhiều nang thận hai bên và ung thư biểu mô tế bào ống thận loại tế bào sáng, là nguyên nhân chính gây tử vong."
- "Khuyến cáo theo dõi định kỳ bằng MRI hoặc chụp có cản quang để phát hiện và điều trị các khối u thận trước khi di căn."
Thảo luận
Bài viết liên quan
Ca bệnh liên quan

Von Hippel Lindau Disease with Pancreatic Cysts (Von Hippel Lindau - nang tụy)

Von Hippel-Lindau Disease - Pancreatic Manifestations (Bệnh Von Hippel-Lindau - biểu hiện tụy)

Von Hippel-Lindau Disease with Pancreatic and Renal Involvement (Bệnh Von Hippel-Lindau)

von Hippel-Lindau Disease with Renal and Pancreatic Manifestations (bệnh von Hippel-Lindau (vHL))

Von Hippel-Lindau Disease with Pancreatic Cysts and Renal Angiomyolipomas (Bệnh Von Hippel-Lindau (vHL))

Von Hippel-Lindau syndrome (Hội chứng Von Hippel Lindau)
