Series (14)
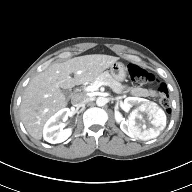
Axial renal excretory phase

U oncocytoma trên thận móng ngựa
Nguồn gốc
Dữ liệu bệnh nhân
Bệnh sử lâm sàng
Đái máu không đau, nội soi bàng quang âm tính. Chụp CT để loại trừ tổn thương đường tiết niệu trên.
Chẩn đoán & Phát hiện
-
Thận móng ngựa.
-
Một tổn thương khối đặc, tăng mật độ không đều, một phần lồi ra ngoài (exophytic), kích thước khoảng 6,0 cm, nằm ở mặt sau dưới của phần nối (isthmus), lệch trái so với đường giữa.
-
Một nốt đặc nhỏ lồi ra ngoài (exophytic), kích thước 12 mm, nằm ở mặt bên của cực trên phần thận phải.
-
Nang loại Bosniak 1 nằm ở mặt trước của phần nối (isthmus).
-
Không có sỏi tiết niệu hay tắc nghẽn đường tiết niệu.
-
Không thấy bất thường rõ rệt ở bàng quang tiết niệu.
-
Tuyến tiền liệt tăng sinh vừa.
-
Nang 16 mm ở thuỳ gan phải.
-
Không thấy tổn thương gan khu trú nghi ngờ hay giãn đường mật.
-
Túi mật teo, chứa sỏi.
-
Hình ảnh bình thường của lách, tuỵ và cả hai tuyến thượng thận.
-
Không có bệnh lý hạch (lymphadenopathy) bụng-chậu rõ, không cổ trướng (ascites), không liềm hơi dưới hoành (pneumoperitoneum).
-
Một nốt nhỏ, dài, hình dạng lành tính, nằm ở mặt dưới của khe chếch trái.
-
Không có bệnh lý hạch (lymphadenopathy) trung thất, không khối/u nốt phổi nghi ngờ, không tràn dịch màng phổi (pleural effusion)/tràn dịch màng ngoài tim (pericardial effusion), không tràn khí màng phổi, không tràn khí trung thất.
-
Không thấy bất thường xương nghi ngờ.
Báo cáo giải phẫu bệnh lý
Báo cáo giải phẫu bệnh lý của tổn thương thận được cắt bỏ.
THẢO LUẬN:
- Thận móng ngựa với hai tổn thương tăng mật độ, ban đầu nghi nhiều khả năng là u tế bào ống thận (renal cell carcinoma – RCC), phân độ hình ảnh T1bN0M0 (tổn thương lớn) và T1aN0M0 (tổn thương nhỏ).
- Trường hợp được thảo luận tại hội chẩn đa chuyên khoa tiết niệu (MDT), quyết định cắt bỏ tổn thương lớn và theo dõi định kỳ tổn thương nhỏ.
- Tổn thương lớn đã được cắt bỏ, kết quả giải phẫu bệnh lý cho thấy oncocytoma.
- Oncocytoma là một khối u (tumor) lành tính của thận, thường bắt chước hình ảnh của u tế bào ống thận (RCC) trên các phương tiện chẩn đoán hình ảnh, gây khó khăn trong phân biệt nếu không có xác nhận bằng mô bệnh học.
- Việc theo dõi tổn thương nhỏ là quyết định hợp lý, nhằm đảm bảo theo dõi cẩn thận các thay đổi theo thời gian.
- Không có mối liên hệ giữa thận móng ngựa và oncocytoma.
- Các khối u (tumor) ở thận móng ngựa thường gặp hơn là u tế bào ống thận (renal cell carcinoma) (đặc biệt là thể tế bào sáng), u tế bào chuyển tiếp (transitional cell carcinoma) hoặc u Wilms ở trẻ em.
Chẩn đoán
Oncocytoma trên thận móng ngựa (oncocytoma in horseshoe kidney)
Chẩn đoán phân biệt
- 1.Ung thư tế bào ống thận (thể tế bào sáng)
- 2.Ung thư tế bào chuyển tiếp
- 3.U mạch cơ mỡ
Điểm giảng dạy
- "Oncocytoma là khối u thận lành tính thường bắt chước hình ảnh ung thư tế bào ống thận trên chẩn đoán hình ảnh, gây khó khăn trong phân biệt trước mổ."
- "Thận móng ngựa không làm tăng nguy cơ oncocytoma, nhưng làm tăng nguy cơ các khối u ác tính như ung thư tế bào ống thận và ung thư tế bào chuyển tiếp."
- "Xét nghiệm mô bệnh học là cần thiết để chẩn đoán xác định các khối u thận, đặc biệt trong các dị tật thận bẩm sinh."
Thảo luận
Ca bệnh liên quan

Renal Cyst - Bosniak IV (U nang thận - Bosniak IV)

Renal Oncocytoma (U oncocytoma thận)

Renal Oncocytoma with Central Stellate Scar (U tế bào hạt thận (Renal oncocytoma))

Renal Cell Carcinoma in Horseshoe Kidney (Ung thư biểu mô tế bào thận trên thận móng ngựa)

Transitional Cell Carcinoma of the Renal Pelvis (Ung thư tế bào chuyển tiếp ở bể thận)

Renal Oncocytoma (U oncocytoma thận)
Chẩn đoán phân biệt

Septic Arthritis of the Acromioclavicular Joint with Extensive Soft Tissue and Muscular Involvement (Viêm khớp nhiễm trùng – khớp cùng đòn mỏm cùng (septic arthritis - acromioclavicular joint))

Air Bronchogram in Pneumonia (Hiện tượng phế quản khí trong viêm phổi)

Active Sacroiliitis in Ankylosing Spondylitis (Viêm khớp cùng chậu hoạt động – viêm cột sống dính khớp)

Bucket Handle Meniscal Tear of the Medial Meniscus (Vết rách sụn chêm dạng xô gánh)

Achilles Tendon Tear (Vỡ gân gót (Achilles tendon tear))

Gastric Cancer with Signet Ring Cell Histology (Ung thư dạ dày)