Series (10)
Axial Gradient Echo

Viêm khớp nhiễm trùng – khớp cùng đòn mỏm cùng (septic arthritis - acromioclavicular joint)
Nguồn gốc
Dữ liệu bệnh nhân
Bệnh sử lâm sàng
Đau khớp vai phải, sốt
Chẩn đoán & Phát hiện
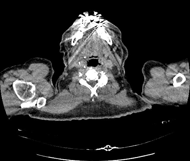
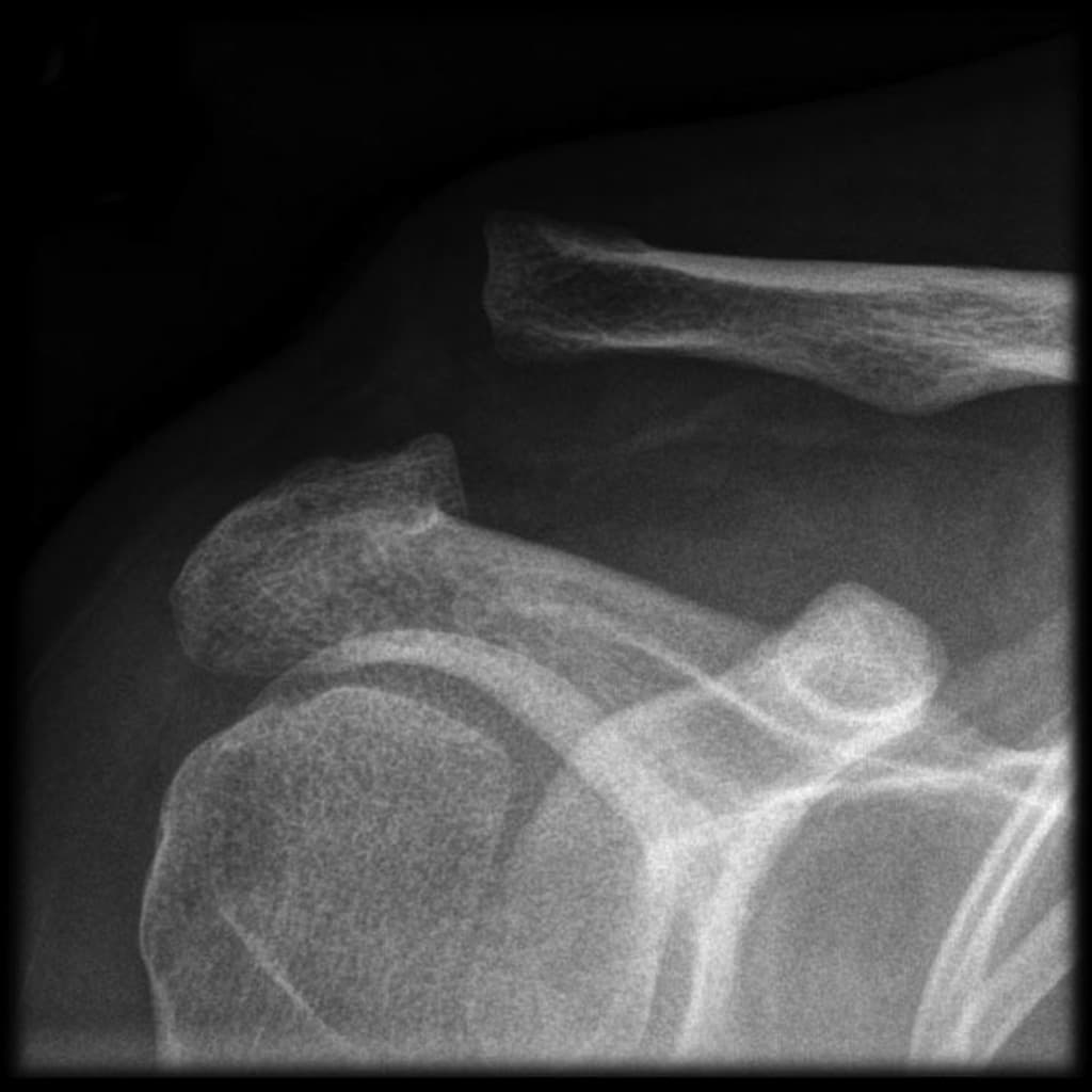
- Có các ổ dịch ngấm thuốc viền (peripherally enhancing collections) xung quanh khớp cùng đòn mỏm cùng phải.
- Các ổ này đi kèm với tín hiệu bất thường ở tủy xương trong mỏm cùng (acromion) và đầu xương đòn (distal clavicle), cùng với các ổ ăn mòn vỏ xương (cortical erosions) ở xương đòn.
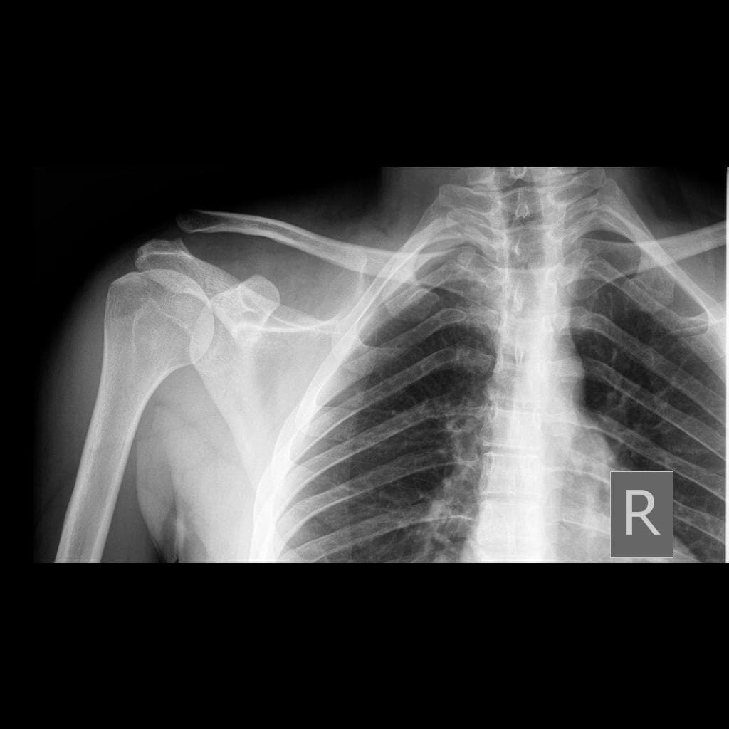
- Ngoài ra, thấy nhiều ổ dịch ngấm thuốc viền kích thước khác nhau nằm trong mô dưới da và các mặt phẳng cơ.
- Các ổ này lan vào các cơ thang (trapezius), cơ delta (deltoid) và cơ ngực lớn (pectoralis), đi kèm tín hiệu bất thường và ngấm thuốc thì tĩnh mạch cửa (post-contrast enhancement) ở các cơ lân cận và mô dưới da phía trên.
- Các cắt ngang ngực cho thấy các đám mờ dạng nốt (nodular opacities) ở phổi phải.
- Thấy một mấu xương nhỏ mọc ra ở bờ trong xương vai, có lớp sụn che phủ dày khoảng 4,5 mm.
[DISCUSSION]
- Viêm khớp nhiễm trùng (septic arthritis) tại khớp cùng đòn mỏm cùng là tình trạng hiếm gặp, thường xảy ra do lan truyền theo đường máu, chấn thương hoặc do nhiễm trùng lan trực tiếp từ vùng lân cận.
- Chụp cộng hưởng từ (MRI) là phương tiện ưu tiên để chẩn đoán sớm, cho phép đánh giá tràn dịch khớp, ngấm thuốc màng hoạt dịch, tổn thương mô mềm quanh khớp và các thay đổi xương kèm theo.
- Trong trường hợp này, sự hiện diện của các ổ dịch ngấm thuốc viền tập trung quanh khớp cùng đòn mỏm cùng, kết hợp với bất thường tín hiệu tủy xương và các ổ ăn mòn vỏ xương ở xương đòn và mỏm cùng, hỗ trợ chẩn đoán viêm khớp nhiễm trùng. Viêm tủy xương kèm theo (osteomyelitis) cũng là một khả năng rất cao.
- Các ổ dịch lan rộng trong cơ và dưới da, ảnh hưởng đến các cơ thang, cơ delta và cơ ngực lớn, biểu hiện cho sự lan rộng của nhiễm trùng với sự hình thành nhiều ổ áp xe – đây là một biến chứng đã được ghi nhận trong nhiễm trùng kéo dài hoặc tiến triển nhanh.
- Các đám mờ dạng nốt (nodular opacities) thấy trên phổi phải có thể là các huyết khối nhiễm khuẩn (septic emboli) hoặc một quá trình nhiễm trùng liên quan như lao phổi hoạt động, cần được đánh giá thêm bằng lâm sàng và hình ảnh học.
- Mấu xương bất thường ở bờ trong xương vai, có lớp sụn mỏng che phủ, phù hợp với u sụn xương (osteochondroma) – phát hiện tình cờ.
- Đã thực hiện dẫn lưu ổ dịch dưới hướng dẫn hình ảnh, thu được khoảng 400 mL dịch mủ, xác nhận bản chất nhiễm trùng của tổn thương.
- Không thể thực hiện phân tích mô bệnh học hoặc tế bào học do bệnh nhân mất theo dõi sau đó.
Chẩn đoán
Viêm khớp nhiễm trùng – khớp cùng đòn mỏm cùng (septic arthritis - acromioclavicular joint)
Chẩn đoán phân biệt
- 1.Viêm tủy xương ở xương đòn và mỏm cùng
- 2.Viêm khớp dạng thấp với ăn mòn khớp và viêm bao gân
- 3.Áp xe cơ (pyomyositis) với viêm khớp nhiễm trùng thứ phát
Điểm giảng dạy
- "Viêm khớp nhiễm trùng tại khớp cùng đòn mỏm cùng rất hiếm và đòi hỏi sự nghi ngờ lâm sàng cao để chẩn đoán."
- "Chụp cộng hưởng từ (MRI) là phương tiện hình ảnh ưu tiên, cho thấy tràn dịch khớp, ngấm thuốc màng hoạt dịch, thay đổi tín hiệu tủy xương và ăn mòn vỏ xương."
- "Các ổ áp xe lan rộng ở mô mềm và trong cơ cho thấy nhiễm trùng tiến triển nhanh hoặc bị chẩn đoán trễ, cần dẫn lưu sớm và điều trị kháng sinh tích cực."
Thảo luận
Bài viết liên quan
Ca bệnh liên quan

Rockwood Classification System of Acromioclavicular Joint Injuries (Hệ thống phân loại Rockwood các tổn thương khớp cùng đòn)

Acromioclavicular Joint Injury - Type III (Chấn thương khớp cùng đòn - loại III)

Acromioclavicular Joint Dislocation with Tightrope Fixation (Trật khớp cùng đòn với cố định bằng Tightrope)

Rockwood Classification of Acromioclavicular Joint Injury (Phân loại Rockwood tổn thương khớp cùng vận động)
Acromioclavicular Joint Dislocation (Trật khớp cùng đòn)

Acromioclavicular Joint Injury with Superior Clavicle Displacement (Chấn thương khớp cùng đòn)
Chẩn đoán phân biệt

Air Bronchogram in Pneumonia (Hiện tượng phế quản khí trong viêm phổi)

Oncocytoma in Horseshoe Kidney (U oncocytoma trên thận móng ngựa)

Active Sacroiliitis in Ankylosing Spondylitis (Viêm khớp cùng chậu hoạt động – viêm cột sống dính khớp)

Bucket Handle Meniscal Tear of the Medial Meniscus (Vết rách sụn chêm dạng xô gánh)

Achilles Tendon Tear (Vỡ gân gót (Achilles tendon tear))

Gastric Cancer with Signet Ring Cell Histology (Ung thư dạ dày)