Series (6)
Lateral

Lao kê và bệnh lý lympho tổ chức bào nuốt hồng cầu
Nguồn gốc
Dữ liệu bệnh nhân
Bệnh sử lâm sàng
Đau tức ngực và sụt cân. Bệnh nhân suy giảm miễn dịch với tiền sử bệnh lý lympho tổ chức bào nuốt hồng cầu (hemophagocytic lymphohistiocytosis).
Chẩn đoán & Phát hiện
-
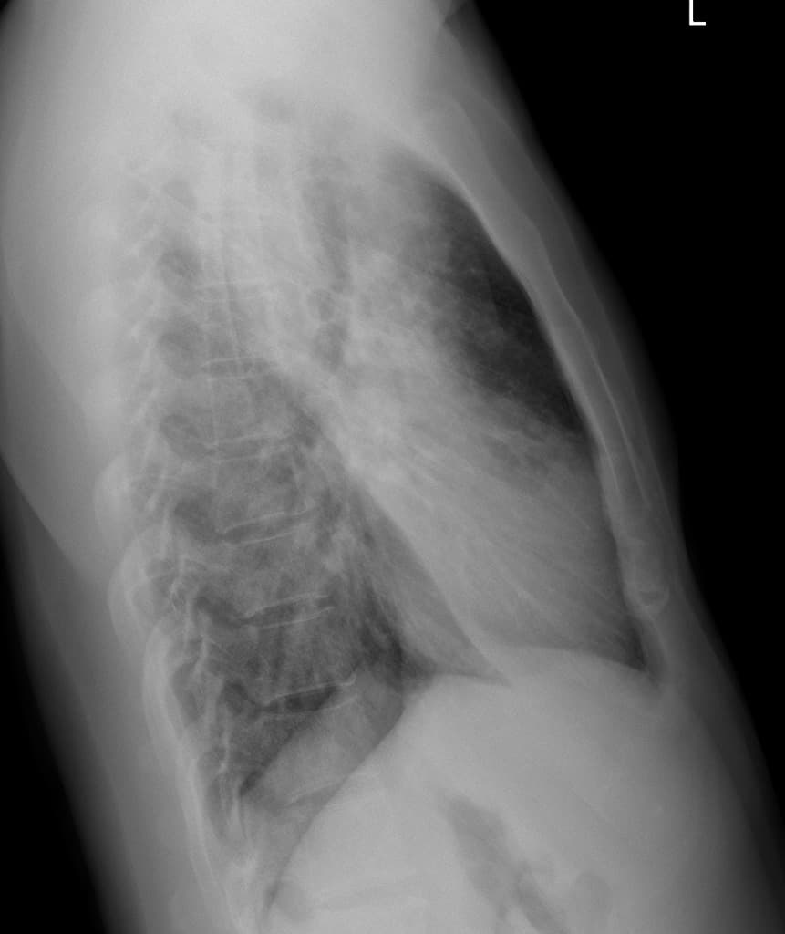
Các nốt nhỏ lan tỏa rộng rãi ở phổi. Không thấy tổn thương xương đáng nghi ngờ.
-
Các nốt phổi nhỏ hai bên lan tỏa, kèm theo các vùng mờ đậm đặc khoảng kẽ và khoảng kẽ phế nang (chủ yếu ở thuỳ giữa phổi phải).
-
Gan to (hepatomegaly) và thành túi mật dày lên, phù hợp với bệnh lý lympho tổ chức bào nuốt hồng cầu (hemophagocytic lymphohistiocytosis).
-
Tổng thể hình ảnh phù hợp với nhiễm trùng lan tỏa dạng lao kê (miliary infection – tuberculosis), chẩn đoán phân biệt bao gồm di căn (metastases).
-
Ngày thứ 3 nhập viện: tăng mức độ mờ khoảng kẽ phế nang với phân bố lan tỏa.
-
Ống nội khí quản và catheter tĩnh mạch phải vĩnh viễn (right permacath) vẫn còn đặt.
DISCUSSION:
Một trường hợp lao kê (miliary tuberculosis) với các dấu hiệu hình ảnh gợi ý bệnh lý lympho tổ chức bào nuốt hồng cầu (hemophagocytic lymphohistiocytosis).
Bệnh nhân trong bối cảnh suy giảm miễn dịch, đã biết mắc bệnh lý lympho tổ chức bào nuốt hồng cầu (hemophagocytic lymphohistiocytosis), và có tiền sử đi du lịch đến các đảo Nam Thái Bình Dương.
Dịch đàm dương tính với trực khuẩn kháng axit (acid-fast bacilli).
Bệnh nhân tử vong sau khi tiến triển suy đa phủ tạng do bệnh lan tỏa.
Ca lâm sàng do Dr. Bradley Wray cung cấp.
Chẩn đoán
Lao kê (miliary tuberculosis) và bệnh lý lympho tổ chức bào nuốt hồng cầu (hemophagocytic lymphohistiocytosis)
Chẩn đoán phân biệt
- 1.Bệnh di căn phổi
- 2.Nhiễm trùng lan tỏa do nấm (ví dụ: bệnh histoplasmosis)
- 3.Bệnh sarcoidosis với hình ảnh nốt lan tỏa
Điểm giảng dạy
- "Lao kê biểu hiện trên hình ảnh học là các nốt nhỏ, phân bố đều và lan tỏa khắp hai phổi, thường kích thước 1–3 mm."
- "Bệnh lý lympho tổ chức bào nuốt hồng cầu (HLH) có thể vừa là nguyên nhân, vừa là hậu quả của nhiễm trùng nặng, đặc biệt ở người suy giảm miễn dịch."
- "Tình trạng đồng tồn tại lao kê và HLH có tỷ lệ tử vong cao do tiến triển nhanh và tổn thương đa cơ quan."







