Series (3)
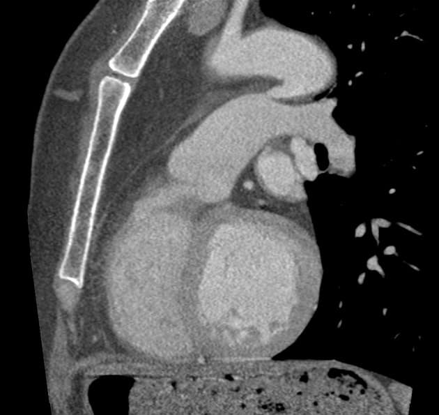
Sagittal thin C+ arterial phase

Còn ống động mạch
Nguồn gốc
Dữ liệu bệnh nhân
Bệnh sử lâm sàng
Tai nạn giao thông do tốc độ cao.
Chẩn đoán & Phát hiện
Chụp cắt lớp vi tính mạch máu động mạch chủ ngực (CT Angiogram Thoracic Aorta):
Chụp có cản quang pha động mạch (sử dụng Omnipaque 350). Không có hình ảnh cắt lớp trước đây để so sánh.
-
Không thấy tổn thương động mạch chủ do chấn thương hoặc máu tụ trung thất. Ghi nhận thấy ống động mạch còn thông (patent ductus arteriosus).
-
Tim phải và động mạch phổi không giãn.
-
Ghi nhận tổ chức tuyến ức còn sót (remnant thymic tissue).
-
Không có hạch rốn phổi, hạch trung thất hoặc hạch nách to.
-
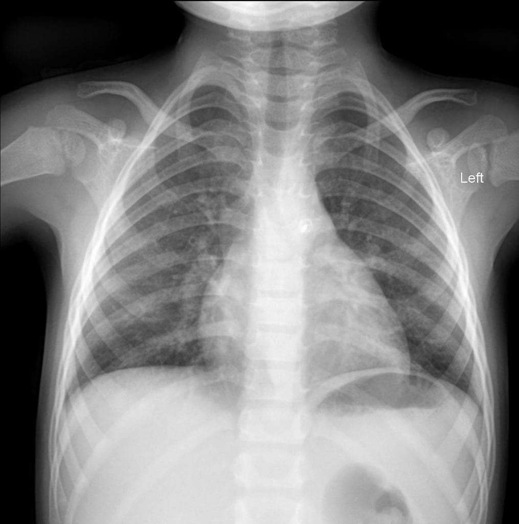
Phổi trong sáng, không đông đặc, không xẹp phổi, không nốt hoặc khối phổi.
-
Không tràn khí màng phổi hoặc tràn dịch màng phổi.
-
Nhiều ổ khí và hình ảnh tăng đậm đặc/xơ hóa liên quan ở mô mềm vùng trước giữa thân xương đòn trái, phù hợp với chấn thương mô mềm.
-
Không thấy gãy xương dưới vùng được chụp của xương đòn trái.
-
Không gãy xương cột sống ngực, xương sườn hoặc xương ức.
Tóm tắt phát hiện chính:
- Không tổn thương động mạch chủ do chấn thương. Ống động mạch còn thông có đường kính nhỏ, không có dấu hiệu tăng áp động mạch phổi hoặc phì đại thất phải (RV hypertrophy). Gợi ý hội chẩn với chuyên khoa Tim mạch (Cardiology review suggested).
- Khí trong mô mềm trước giữa thân xương đòn trái rất gợi ý vết rách mô mềm. Không gãy xương đòn trái, tuy nhiên xương đòn được chụp chưa đầy đủ toàn bộ chiều dài.
DISCUSSION:
Ống động mạch (ductus arteriosus) là một mạch máu nối động mạch chủ xuống gần đoạn đầu với phần trần của thân động mạch phổi gần nơi xuất phát của động mạch phổi trái. Bình thường, ống này tự đóng trong vòng 24–48 giờ sau sinh do tăng áp lực oxy và giảm nồng độ prostaglandin. Việc không đóng lại sẽ dẫn đến tình trạng ống động mạch còn thông (patent ductus arteriosus – PDA).
PDA hiếm gặp ở người lớn vì thường được phát hiện và điều trị trong thời thơ ấu. PDA gây tình trạng shunt trái sang phải, và biểu hiện lâm sàng là tiếng thổi liên tục, nghe rõ nhất ở vùng mép ức trái trên.
Điều trị dứt điểm là đóng ống động mạch, có thể thực hiện bằng phương pháp can thiệp qua da (transcatheter) hoặc phẫu thuật thắt.
Trong bối cảnh chấn thương, việc phân biệt giữa PDA và tổn thương động mạch chủ do chấn thương là rất quan trọng. Trong trường hợp này, vị trí giải phẫu, không có bất thường thành mạch, cùng với việc không có máu tụ trung thất hoặc các tổn thương ngực đáng kể khác giúp khẳng định chẩn đoán PDA.
Chẩn đoán
Ống động mạch còn thông (Patent ductus arteriosus)
Chẩn đoán phân biệt
- 1.Tổn thương động mạch chủ do chấn thương
- 2.Dị dạng động tĩnh mạch phổi
- 3.Động mạch vành trái xuất phát bất thường từ động mạch phổi
Điểm giảng dạy
- "Ống động mạch còn thông (PDA) là sự thông nối tồn tại giữa động mạch chủ xuống gần và động mạch phổi, bình thường sẽ đóng trong vòng 48 giờ sau sinh."
- "Ở người lớn, PDA hiếm gặp và thường được phát hiện tình cờ; gây shunt trái sang phải và biểu hiện bằng tiếng thổi liên tục kiểu 'máy móc'."
- "Phân biệt PDA với tổn thương động mạch chủ do chấn thương trên CT rất quan trọng: PDA không có bất thường thành mạch, không máu tụ và có vị trí giải phẫu đặc trưng."









