Thu, Apr 9
AI Trực tuyến
Series (2)
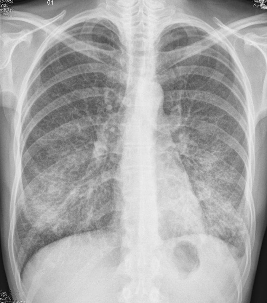
Frontal

X-ray•Frontal•1 Img
Ca bệnhViêm phổi – thùy giữa bên phải
Viêm phổi – thùy giữa bên phải
Nguồn gốc
Dữ liệu bệnh nhân
Tuổi35 year
Giới tínhMale
Bệnh sử lâm sàng
Ho và sốt.
Chẩn đoán & Phát hiện
- Đặc chắc nhu mô phổi (airspace consolidation) kèm hình ảnh phế quản khí (air bronchograms) ở vùng dưới bên phải, rõ nhất tại thùy giữa bên phải trên hình nghiêng.
- Không thấy tràn dịch màng phổi (pleural effusion).
- Tim và các cấu trúc trung thất bình thường về kích thước và hình dạng.
- Xương sườn và thành ngực không có tổn thương xương.
Chẩn đoán
Viêm phổi – thùy giữa bên phải (pneumonia - right middle lobe)
Chẩn đoán phân biệt
- 1.Lao phổi
- 2.Áp xe phổi
- 3.Ung thư phế quản phổi
Điểm giảng dạy
- "Viêm phổi thùy giữa bên phải dễ dẫn đến xẹp phổi và nhiễm trùng tái phát do đường dẫn khí phế quản hẹp."
- "Hình ảnh phế quản khí trong vùng đặc chắc nhu mô là dấu hiệu quan trọng gợi ý quá trình lấp đầy alveoli, điển hình trong viêm phổi do vi khuẩn."
- "Chụp X-quang ngực nghiêng giúp xác định chính xác vị trí tổn thương ở thùy giữa, vốn có thể bị che khuất trên phim trước-sau do bóng tim."
Thảo luận
Viêm phổi thùy giữa bên phải là một hình ảnh phổ biến nhưng thường bị bỏ sót trên X-quang ngực. Thùy giữa bên phải đặc biệt dễ bị ảnh hưởng bởi các quá trình tắc nghẽn và nhiễm trùng do hướng giải phẫu và lòng phế quản tương đối hẹp. Trên phim X-quang ngực trước-sau, vùng đặc chắc ở thùy này có thể mờ nhạt hoặc bị che khuất bởi bóng tim; tuy nhiên, phim nghiêng cho thấy rõ hình ảnh mờ ở vùng trước, giữa tim và cơ hoành. Dấu hiệu phế quản khí là đặc trưng của bệnh lý nhu mô phổi, cho thấy phế quản còn thông suốt trong khi các phế nang xung quanh bị lấp đầy dịch. Về lâm sàng, bệnh nhân thường có sốt, ho và đôi khi đau ngực không điển hình. Chẩn đoán phân biệt bao gồm lao phổi, áp xe phổi và ung thư phế quản phổi, đặc biệt ở bệnh nhân có yếu tố nguy cơ hoặc đáp ứng kém với kháng sinh. Việc nhận biết sớm và điều trị kịp thời bằng kháng sinh phù hợp là cần thiết để ngăn ngừa các biến chứng như xẹp phổi, tràn dịch màng phổi hoặc áp xe màng phổi.
Bài viết liên quan
Ca bệnh liên quan
Chẩn đoán phân biệt

Intracranial metastases

Brain metastases from breast cancer

Cerebral Abscess Following Penetrating Trauma (Áp xe não)

Cerebral Abscess in a Patient with Sickle Cell Anemia (Áp xe não)

Haemophilus Influenzae Pneumonia with Necrotizing Features (Viêm phổi do Haemophilus)

Cerebral Abscesses due to Streptococcus intermedius (Áp xe não (cerebral abscesses))


