Thu, Apr 9
AI Trực tuyến
Series (7)
Oblique

Ultrasound•Oblique•1 Img
Ca bệnhU nguyên bào thần kinh sơ sinh
U nguyên bào thần kinh sơ sinh
Nguồn gốc
Dữ liệu bệnh nhân
Giới tínhFemale
Bệnh sử lâm sàng
Chẩn đoán trước sinh về khối u vùng thượng thận. Ba giờ sau sinh.
Chẩn đoán & Phát hiện
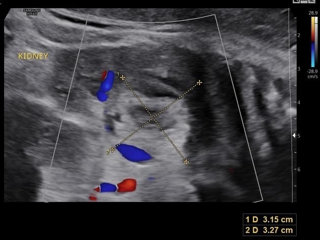
- Khối tròn, ranh giới rõ, kích thước 2,8 cm ở không gian thượng thận phải, có biến đổi dạng nang trong lòng khối. Khối này kề sát nhưng không xuất phát từ cực trên của thận phải.
- Gan, lách và thận trái bình thường.
- Các vùng quanh động mạch chủ bị che khuất bởi hơi ruột.
DISCUSSION:
Khối thượng thận phải này lần đầu được phát hiện trên hình ảnh trước sinh. Chụp hình được lặp lại vào ngày sinh, hình ảnh phù hợp nhất với u nguyên bào thần kinh sơ sinh (neonatal neuroblastoma).
Chẩn đoán
U nguyên bào thần kinh sơ sinh (neonatal neuroblastoma)
Chẩn đoán phân biệt
- 1.Xuất huyết thượng thận bẩm sinh
- 2.U thần kinh (ví dụ: u hạch thần kinh)
- 3.Ung thư biểu mô vỏ thượng thận
Điểm giảng dạy
- "U nguyên bào thần kinh sơ sinh thường biểu hiện là khối u thượng thận được phát hiện tình cờ trên siêu âm trước sinh."
- "Các đặc điểm hình ảnh như ranh giới rõ, biến đổi dạng nang và không xuất phát từ thận giúp phân biệt với các khối u thượng thận hoặc thận khác."
- "Hầu hết các trường hợp u nguyên bào thần kinh sơ sinh có tiên lượng tốt và có thể tự thoái lui."
Thảo luận
U nguyên bào thần kinh sơ sinh là khối u đặc ngoài sọ phổ biến nhất ở trẻ sơ sinh, thường xuất phát từ tủy thượng thận. Bệnh thường được phát hiện trước sinh như một khối thượng thận ranh giới rõ, đôi khi có thành phần nang. Khác với xuất huyết thượng thận bẩm sinh, có thể cho thấy các đặc điểm thay đổi của tụ máu, u nguyên bào thần kinh thường ổn định hoặc phát triển và có thể xuất hiện vôi hóa trên hình ảnh theo dõi. Việc không liên quan đến thận giúp loại trừ các khối u thận nguyên phát như u Wilms. Hầu hết các trường hợp ở trẻ sơ sinh là giai đoạn thấp và có đặc điểm sinh học thuận lợi, tỷ lệ tự thoái lui cao, đặc biệt ở trẻ dưới 6 tháng tuổi. Việc định hình sớm bằng hình ảnh và theo dõi là chìa khóa để tránh các can thiệp không cần thiết.
Bài viết liên quan
Ca bệnh liên quan
Chẩn đoán phân biệt

Von Hippel-Lindau Disease with Bilateral Pheochromocytomas and Pancreatic Neuroendocrine Tumor (Bệnh Von Hippel-Lindau - pheochromocytoma hai bên)

Traumatic Liver Contusion and Right Adrenal Hematoma (Chấn thương gan và tuyến thượng thận)

Recurrence of Renal Cell Carcinoma Post Nephrectomy (Tái phát ung thư biểu mô tế bào thận sau cắt bỏ thận)
