Thu, Apr 9
AI Trực tuyến
Series (3)
Axial C+ portal venous phase

CT•Axial C+ portal venous phase•1 / 465
Ca bệnhÁp xe gan kèm rối loạn tưới máu gan
Áp xe gan kèm rối loạn tưới máu gan
Nguồn gốc
Dữ liệu bệnh nhân
Tuổi60 year
Giới tínhMale
Bệnh sử lâm sàng
Bệnh nhân đến khám do sốt cao kéo dài 1 tuần và chán ăn.
Chẩn đoán & Phát hiện
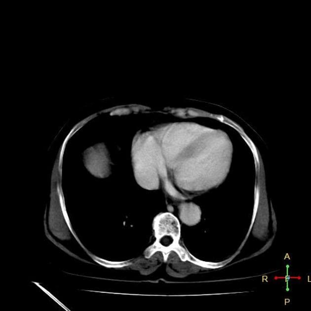
- GAN to (hepatomegaly) kèm gan nhiễm mỡ (fatty liver).
- Thấy một ổ tổ chức dạng nang - nhiều ngăn - giới hạn không rõ (ill-defined multiseptated multiloculated) ở phân thùy VII/VIII của gan, có tăng quang viền (rim enhancement) ngoại vi, kèm theo một ổ vôi hóa và dấu hiệu "cluster sign". Ổ này chèn ép một phần đoạn gan của tĩnh mạch chủ dưới (inferior vena cava - IVC).
- Rải rác ở cả hai thùy gan thấy một số tổn thương giảm tỷ trọng (hypodense lesions) với kích thước khác nhau.
- Thấy nhiều vùng tăng quang tĩnh mạch (venous enhancement) ở cả hai thùy gan, phân bố cả trung tâm và ngoại vi.
- Không xác định được tĩnh mạch gan trái, giữa và phải (left, middle and right hepatic veins).
- Tĩnh mạch cửa (portal vein) thông thoáng (patent).
- Thấy một số ổ vôi hóa ở thân và đuôi tụy. Ống tụy giãn.
- Không thấy hình ảnh (no evidence of) khối u đầu tụy hoặc vùng quanh bóng Vater.
- Lách to (splenomegaly) không đồng nhất, kèm theo các u hạt vôi hóa nhỏ và các tổn thương giảm tỷ trọng.
- Thấy một số nang vỏ thận (renal cortical cysts) đơn thuần nhỏ, song bên.
- Bệnh lý xơ vữa động mạch lan tỏa (diffuse atherosclerotic disease) ở động mạch chủ bụng, kèm huyết khối thành mạch (intramural thrombus).
DISCUSSION:
- Hình ảnh phù hợp với (consistent with) áp xe gan gây chèn ép một phần tĩnh mạch chủ dưới liền kề và rối loạn tưới máu gan (hepatic perfusion disorders).
- Bệnh nhân có tiền sử đái tháo đường type 2, là yếu tố nguy cơ gây áp xe gan mủ (pyogenic hepatic abscess).
- Xét nghiệm: C-reactive protein tăng (150 mg/L), bạch cầu (WBC) 13,6 x10⁹/L, HbA1c (glycated hemoglobin) NGSPH 12,9%, nhưng kháng nguyên phôi ung thư (carcinoembryonic antigen - CEA) thấp <1,5 IU/mL.
- Cấy máu và kháng sinh đồ không thấy vi khuẩn phát triển.
- Bệnh nhân được bắt đầu điều trị kháng sinh đường tĩnh mạch, tình trạng cải thiện và được xuất viện trong tình trạng ổn định.
- Sau đó, bệnh nhân được hẹn siêu âm theo dõi sau 2 tuần để đánh giá lại áp xe gan, nhưng không đến khám (defaulted on follow-up).
- Sau 2 tháng, siêu âm hệ gan - mật - tụy được thực hiện và cho thấy giảm kích thước ổ áp xe gan (hình ảnh không hiển thị).
- Trong trường hợp này, hình ảnh CT cho thấy rối loạn tưới máu gan, có thể thứ phát do không thấy hình ảnh (non-opacification) hoặc tắc (occlusion) tất cả các tĩnh mạch gan do áp xe gan gây ra.
- Tắc các tĩnh mạch gan có thể dẫn đến tăng áp lực xoang gan (sinusoidal pressure), kéo theo tăng lưu lượng động mạch gan, dẫn đến thông động tĩnh mạch cửa chức năng trong gan (functional intrahepatic arterioportal shunt)¹.
- Chẩn đoán phân biệt bao gồm giãn mạch máu dạng xuất huyết di truyền (hereditary hemorrhagic telangiectasia).
Chẩn đoán
Áp xe gan kèm rối loạn tưới máu gan (liver abscess with hepatic perfusion disorders)
Chẩn đoán phân biệt
- 1.Giãn mạch máu dạng xuất huyết di truyền
- 2.Hội chứng Budd-Chiari
- 3.Áp xe gan mủ kèm chèn ép tĩnh mạch
Điểm giảng dạy
- "Áp xe gan có thể gây rối loạn tưới máu gan thứ phát do chèn ép hoặc tắc tĩnh mạch gan."
- "Thông động tĩnh mạch cửa chức năng trong gan có thể phát triển như một hậu quả huyết động của tắc nghẽn dòng chảy tĩnh mạch gan."
- "Đái tháo đường là yếu tố nguy cơ quan trọng gây áp xe gan mủ và cần chỉ định hình ảnh sớm ở bệnh nhân sốt."
Thảo luận
Trường hợp này mô tả một áp xe gan mủ ở phân thùy VII/VIII gây hiệu ứng khối, chèn ép một phần đoạn gan của tĩnh mạch chủ dưới và không thấy hình ảnh các tĩnh mạch gan, dẫn đến rối loạn tưới máu gan. Tắc nghẽn dòng chảy tĩnh mạch này làm tăng áp lực xoang gan, từ đó tăng lưu lượng máu động mạch gan, tạo thành thông động tĩnh mạch cửa chức năng trong gan. Hiện tượng này bắt chước các dị dạng mạch máu và cần phân biệt với các bệnh như giãn mạch máu dạng xuất huyết di truyền hoặc hội chứng Budd-Chiari. Đái tháo đường làm tăng nguy cơ áp xe gan, đặc biệt do vi khuẩn gram âm. Dù cấy máu âm tính, chẩn đoán vẫn được xác định dựa trên lâm sàng và hình ảnh. Việc điều trị kháng sinh sớm và theo dõi bằng hình ảnh là rất quan trọng, vì việc bỏ sót theo dõi có thể dẫn đến biến chứng do rối loạn tưới máu kéo dài.
Chẩn đoán phân biệt

Chronic Subcapsular Hepatic Hematoma (Khối máu tụ dưới vỏ gan mạn tính)

Hepatic Hematoma in HELLP Syndrome (Khối máu tụ gan trong hội chứng HELLP)

Community Acquired Methicillin Resistant Staphylococcus Aureus Pneumonia (Viêm phổi do tụ cầu vàng kháng methicillin mắc phải trong cộng đồng)

Cholangiocarcinoma - Mass-Forming Pattern (Ung thư tế bào gan dạng khối – dạng hình thành khối)

Cholangiocarcinoma (Ung thư tế bào gan đường mật)
