Thu, Apr 9
AI Trực tuyến
Series (3)
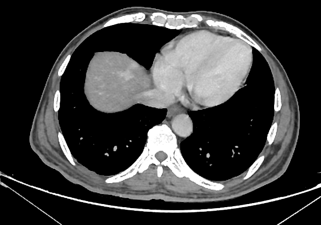
Axial C+ portal venous phase

CT•Axial C+ portal venous phase•1 / 23
Ca bệnhThông thương động-tĩnh mạch do chấn thương sau đốt điện tần số radio
Thông thương động-tĩnh mạch do chấn thương sau đốt điện tần số radio
Nguồn gốc
Dữ liệu bệnh nhân
Tuổi60 year
Giới tínhMale
Bệnh sử lâm sàng
Theo dõi sau đốt điện tần số radio u biểu mô tế bào gan
Chẩn đoán & Phát hiện
- Tăng đậm nhanh của tĩnh mạch cửa chính mà không có ngấm thuốc thì động mạch ở tĩnh mạch lách hoặc tĩnh mạch mạc treo tràng trên, gợi ý hình thành thông động-tĩnh mạch (arterio-portal fistula).
- Đã tiêu diệt thành công tổn thương khu trú ở phân thuỳ VII với không còn mô sống sót.
DISCUSSION:
Thông động-tĩnh mạch gan (arterio-portal fistula) có thể xảy ra thứ phát sau chấn thương gan hoặc do thao tác gây iatrogenic, ví dụ như sinh thiết gan, hoặc do xâm lấn ác tính dẫn đến thông tắt khối u (transtumoral shunt).
Chẩn đoán
Thông thương động-tĩnh mạch do chấn thương sau đốt điện tần số radio (Traumatic AV fistula following RF ablation)
Chẩn đoán phân biệt
- 1.Thông động-tĩnh mạch do xâm lấn ác tính
- 2.Thông mạch máu sau sinh thiết
- 3.Cục máu đông tĩnh mạch cửa kèm tuần hoàn bàng hệ động mạch
Điểm giảng dạy
- "Thông động-tĩnh mạch gan có thể phát triển như một biến chứng của các can thiệp gan qua da như đốt điện tần số radio hoặc sinh thiết."
- "Tăng đậm sớm tĩnh mạch cửa mà không có ngấm thuốc ở tĩnh mạch lách hoặc tĩnh mạch mạc treo tràng trên là dấu hiệu hình ảnh đặc trưng của thông động-tĩnh mạch."
- "Phân biệt thông động-tĩnh mạch do chấn thương và do khối u là rất quan trọng vì cách điều trị và tiên lượng khác nhau."
Thảo luận
Thông động-tĩnh mạch gan (APF) là một thông nối bất thường giữa hệ thống động mạch gan và hệ tĩnh mạch cửa, có thể dẫn đến tăng áp lực cửa và rối loạn chức năng gan. Tình trạng này có thể xảy ra thứ phát sau chấn thương gan, các thủ thuật gây iatrogenic như đốt điện tần số radio hoặc sinh thiết qua da, hoặc do xâm lấn ác tính tạo thành thông tắt khối u. Trong trường hợp này, thông nối xuất hiện sau đốt điện tần số radio điều trị u biểu mô tế bào gan, có thể do tổn thương nhiệt làm đứt gãy cấu trúc mạch máu. Dấu hiệu hình ảnh đặc trưng là tăng đậm sớm tĩnh mạch cửa trong thì động mạch, mà không có ngấm thuốc ở các nhánh tạng như tĩnh mạch lách hay tĩnh mạch mạc treo tràng trên. Chẩn đoán có thể xác định qua hình ảnh. Điều trị phụ thuộc vào mức độ nghiêm trọng: các thông nhỏ có thể tự hết, trong khi các thông lớn hơn có thể cần tắc mạch can thiệp. Việc nhận biết biến chứng này là rất quan trọng để ngăn ngừa các hậu quả lâu dài như tăng áp lực cửa hoặc suy tim do cung lượng cao.
