Thu, Apr 9
AI Trực tuyến
Series (8)
Axial C+ delayed

CT•Axial C+ delayed•1 Img
Ca bệnhPhình mạch vành khổng lồ trong bệnh Kawasaki
Phình mạch vành khổng lồ trong bệnh Kawasaki
Nguồn gốc
Dữ liệu bệnh nhân
Tuổi15 year
Giới tínhFemale
Bệnh sử lâm sàng
Hạch sau tai (retroauricular adenopathies), sung huyết kết mạc, bong vảy da và lưỡi dâu tây (5 năm trước). Đau ngực thỉnh thoảng. Không thừa nhận chẩn đoán xác định bệnh tim nào.
Chẩn đoán & Phát hiện
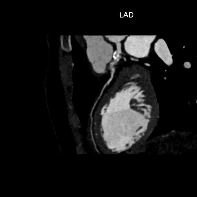
- Phình mạch vành khổng lồ (giant coronary aneurysms) của động mạch vành phải (right coronary artery) và động mạch vành trước xuống (anterior descending coronary artery).
- Một phình mạch vành được coi là khổng lồ khi đường kính tuyệt đối > 8 mm hoặc có chỉ số z >10.
- Đường kính tối đa của đoạn gần động mạch vành phải là 16 mm, tham chiếu cho thấy lớn hơn động mạch chủ xuống (descending aorta).
- Nhận thấy hình khuyết thuốc (filling defect) trong lòng động mạch vành phải, nhiều khả năng do huyết khối (thrombus), tuy nhiên kích thước hình ảnh có thể lớn hơn thực tế do hiện tượng dòng chảy chậm (slow flow effect) – hiện tượng thường gặp trong huyết khối giả ở tiểu nhĩ (pseudo thrombus of atrial appendages). Việc chụp muộn (late acquisition) thường hữu ích để xác nhận sự hiện diện thực sự của huyết khối.
- Phình mạch vành khổng lồ (giant coronary aneurysms) của động mạch vành phải và động mạch vành trước xuống.
- Không thấy hình ảnh (no evidence of) thiếu máu cục bộ (ischemia), test gắng sức bình thường.
[DISCUSSION]
- Một trong những biến chứng quan trọng nhất của bệnh Kawasaki là sự hình thành phình mạch vành (coronary aneurysms).
- Bệnh nhân không được điều trị sớm bằng globulin miễn dịch do chẩn đoán bị chậm, dẫn đến hình thành phình mạch vành không hồi phục (irreversible coronary aneurysm).
- Hiện tại, bệnh nhân đang được điều trị chống đông (antithrombotic management).
Chẩn đoán
Phình mạch vành khổng lồ trong bệnh Kawasaki (Giant coronary aneurysms in Kawasaki disease)
Chẩn đoán phân biệt
- 1.Viêm động mạch Takayasu
- 2.Phình động mạch vành do xơ vữa
- 3.Viêm mạch do nhiễm trùng (ví dụ: viêm động mạch do giang mai)
Điểm giảng dạy
- "Phình động mạch vành khổng lồ được định nghĩa là phình có đường kính >8 mm hoặc chỉ số z >10, thường liên quan đến bệnh Kawasaki chưa được điều trị."
- "Chẩn đoán trễ và không điều trị sớm bằng globulin miễn dịch tĩnh mạch làm tăng đáng kể nguy cơ hình thành phình động mạch vành trong bệnh Kawasaki."
- "Khuyết thuốc trong phình lớn có thể là huyết khối, nhưng dòng chảy chậm có thể giả lập huyết khối (huyết khối giả); chụp muộn giúp phân biệt."
Thảo luận
Bệnh Kawasaki là một dạng viêm mạch hệ thống chủ yếu ảnh hưởng đến trẻ em dưới 5 tuổi, với nguy cơ đáng kể về tổn thương động mạch vành. Biến chứng nguy hiểm nhất là hình thành phình động mạch vành, đặc biệt khi chẩn đoán và điều trị bằng globulin miễn dịch tĩnh mạch (IVIG) bị trì hoãn quá 10 ngày kể từ lúc khởi phát. Các phình khổng lồ (đường kính >8 mm hoặc chỉ số z >10) có nguy cơ cao về tắc mạch, hẹp mạch và nhồi máu cơ tim. Việc điều trị chống đông kéo dài và theo dõi định kỳ bằng hình ảnh học tim là cần thiết. Trường hợp này minh họa các di chứng lâu dài của bệnh Kawasaki được điều trị không đầy đủ, với các phình khổng lồ tồn tại dai dẳng và nguy cơ biến chứng huyết khối dù không có bằng chứng thiếu máu cục bộ trên test gắng sức.
Bài viết liên quan
Ca bệnh liên quan

Kawasaki Disease with Thrombosed Right and Left Coronary Artery Aneurysms (Bệnh Kawasaki với các phình mạch vành trái và phải bị huyết khối)

Coronary Artery Aneurysms Due to Childhood Kawasaki Disease (Phình mạch vành do bệnh Kawasaki thời thơ ấu)

Kawasaki Disease with Coronary Artery Aneurysms (Bệnh Kawasaki)



