Series (9)
Sagittal T2 fat sat

Lao vùng chậu - phúc mạc
Nguồn gốc
Dữ liệu bệnh nhân
Bệnh sử lâm sàng
Đau vùng chậu kèm cảm giác khó chịu. Các khối dạng nang vùng chậu trên siêu âm.
Chẩn đoán & Phát hiện
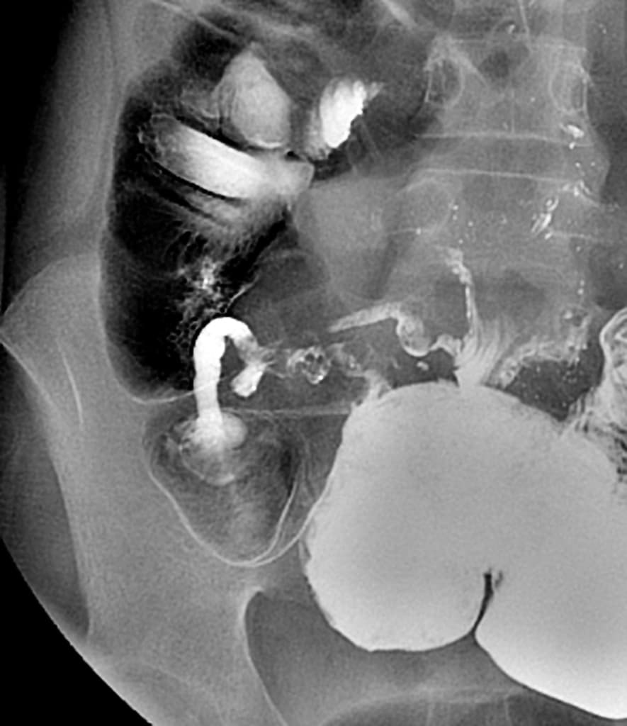
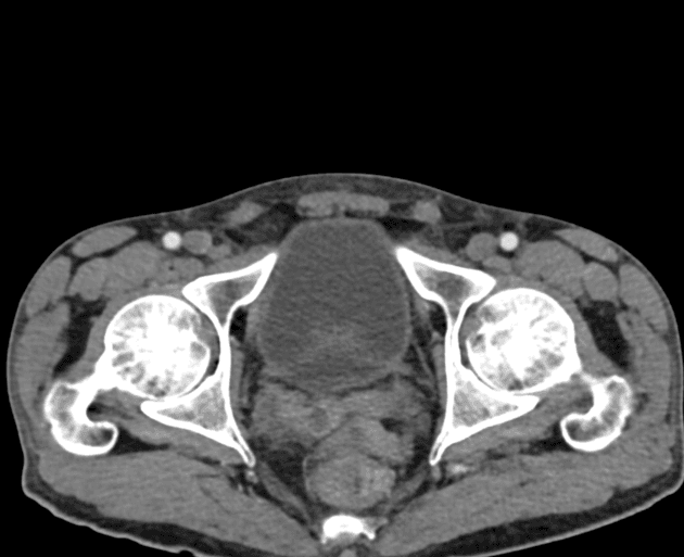
Nhiều tổn thương phần phụ dạng nang-đặc hai bên vùng chậu với bờ không đều và tín hiệu hỗn hợp tăng trên T2/giảm trên T1; phần đặc ngoại vi tăng quang sau tiêm. Tổn thương lớn nhất: 65x41 mm (phải), 39x36 mm (trái). Ống dẫn trứng giãn ngoằn ngoèo chứa thành phần hoại tử (21 mm phải, 20 mm trái). Thay đổi dạng nốt viêm và dính trong khoang chậu; mất một phần đường bờ tử cung. Dày dạng nốt nhỏ lan tỏa của mạc nối lớn tạo hình ảnh bánh mạc nối giả. Tổn thương phần phụ trái xâm lấn quai hồi tràng lân cận, biểu hiện giảm tín hiệu T2, hạn chế khuếch tán và tăng quang mạnh; dày đến 11mm, kéo dài khoảng 15cm. Các quai hồi tràng dính nhau nhưng không giãn hay tắc mạch. Tử cung hai sừng hoặc có vách ngăn bán phần. Cơ tử cung, nội mạc tử cung, cổ tử cung và buồng trứng bình thường.
Chẩn đoán
Lao vùng chậu - phúc mạc
Chẩn đoán phân biệt
- 1.Ung thư biểu mô buồng trứng
- 2.Di căn phúc mạc
- 3.Lạc nội mạc tử cung
Điểm giảng dạy
- "Lao vùng chậu có thể mô phỏng bệnh lý ác tính buồng trứng trên hình ảnh do các khối dạng nang-đặc và dày mạc nối."
- "Ống dẫn trứng giãn với thành phần hoại tử (viêm ống dẫn trứng) là những chỉ số gợi ý mạnh mẽ về lao."
- "Bánh mạc nối giả và dày mạc nối dạng nốt nhỏ là những đặc điểm đặc trưng của tổn thương phúc mạc."





