Thu, Apr 9
AI Trực tuyến
Series (4)
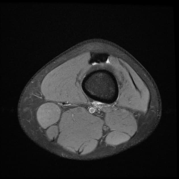
Axial PD fat sat

MRI•Axial PD fat sat•1 / 30
Ca bệnhTháp mạc gối lật ngược
Tháp mạc gối lật ngược
Nguồn gốc
Dữ liệu bệnh nhân
Tuổi60 Year
Giới tínhMale
Bệnh sử lâm sàng
Đau và sưng khớp gối, có tiền sử chấn thương gần đây
Chẩn đoán & Phát hiện
- Đứt thân và sừng sau của sụn chêm bên, gây ra hiện tượng một phần đáng kể của sụn chêm bị lật về phía trước và vào trong, nằm trong khe gian lồi cầu.
- Trên các hình ảnh cắt dọc, thấy dấu hiệu "sụn chêm ảo" (ghost meniscus sign) ở phía sau.
- Ngoài ra, thấy dấu hiệu "tam giác kép" (double delta sign) ở phía trước.
- Ghi nhận tổn thương dập (contusion) ở lồi cầu ngoài của xương chày.
- Ghi nhận lượng dịch khớp vừa (moderate amount of joint effusion).
- Thấy tín hiệu dịch bao quanh dây chằng bên ngoài, gợi ý căng giãn dây chằng (sprain).
DISCUSSION:
Tháp mạc gối lật ngược (flipped meniscus) là một dạng rách dạng xô (bucket handle tear), trong đó một phần lớn của sụn chêm bị lật và nằm kề sừng trước, dẫn đến tạo thành khoảng trống tại vị trí cho (donor site).
Chẩn đoán
Tháp mạc gối lật ngược (flipped meniscus)
Chẩn đoán phân biệt
- 1.Rách dạng xô sụn chêm bên
- 2.Rách tầng ngang kèm di lệch sụn chêm
- 3.Sụn chêm đĩa với tình trạng vỡ mảnh
Điểm giảng dạy
- "Tháp mạc gối lật ngược là dạng phụ của rách dạng xô, đặc trưng bởi sự di lệch về phía trước của mảnh sụn chêm rách vào khe gian lồi cầu."
- "Dấu hiệu 'sụn chêm ảo' trên hình cộng hưởng từ cắt dọc cho thấy sự vắng mặt của tổ chức sụn chêm bình thường tại vị trí dự kiến, gợi ý rách di lệch."
- "Dấu hiệu 'tam giác kép' là phát hiện cộng hưởng từ quan trọng trong tháp mạc gối lật ngược, biểu hiện mảnh sụn di lệch nằm kề sừng trước, tạo thành hai cấu trúc hình tam giác."
Thảo luận
Tháp mạc gối lật ngược là một dạng đặc biệt của rách dạng xô, thường gặp ở sụn chêm bên. Tình trạng này xảy ra khi một vết rách dọc dọc cho phép một mảnh lớn của sụn chêm—thường là thân và sừng sau—di lệch về phía trước và vào trong vào khe gian lồi cầu. Sự di lệch này dẫn đến 'dấu hiệu sụn chêm ảo', khi giường sụn chêm nguyên bản trông trống rỗng trên hình ảnh cắt dọc. Mảnh sụn di lệch nằm kề sừng trước, tạo thành 'dấu hiệu tam giác kép'—hai cấu trúc hình tam giác riêng biệt có cường độ tín hiệu thấp, đại diện cho sừng trước bình thường và mảnh sụn bị lật. Các phát hiện đi kèm như tổn thương dập xương, dịch khớp và căng giãn dây chằng thường gặp do cơ chế chấn thương. Việc nhận diện sớm trên cộng hưởng từ rất quan trọng để lên kế hoạch phẫu thuật, vì tổn thương này thường cần được giảm chỉnh và sửa chữa nội soi.
Ca bệnh liên quan

Bucket Handle Tear of the Medial Meniscus (Xé dạng tay xô sụn chêm trong)

Flipped Meniscus (Thùy lật ngược)

Lateral Meniscus Bucket Handle Tear (Xé dạng xô hình thùng ở sụn chêm bên)

Bucket Handle Meniscal Tear of the Medial Meniscus (Vết rách sụn chêm dạng xô gánh)

Flipped Meniscus (Tháp mạc hoạt dịch)

Bucket-Handle Meniscus Tear (Xé dạng xô gánh sụn chêm)
