Thu, Apr 9
AI Trực tuyến
Series (6)
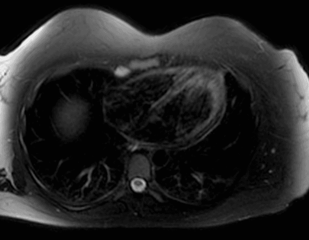
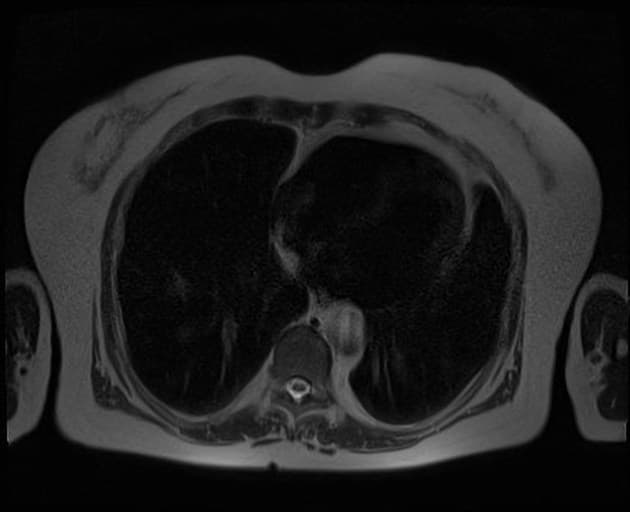
Axial T2

MRI•Axial T2•1 / 30
Ca bệnhViêm gan cấp tính
Viêm gan cấp tính
Nguồn gốc
Dữ liệu bệnh nhân
Tuổi25 year
Giới tínhFemale
Bệnh sử lâm sàng
Đau bụng và vàng da. Chụp cộng hưởng từ đường mật tụy (MRCP) để loại trừ sỏi đường mật.
Chẩn đoán & Phát hiện
- Gan to với tín hiệu phù quanh cửa (periportal edema signal).
- Dày thành túi mật (mural thickening) và phù thành túi mật lan tỏa.
- Dịch ổ bụng (ascites) mức độ nhẹ.
- Ống mật chủ (common bile duct - CBD) và ống tụy có kích thước trong giới hạn bình thường, không thấy tổn thương gây tắc nghẽn.
DISCUSSION:
Trong trường hợp vàng da, chụp cộng hưởng từ đường mật tụy (MRCP) có thể được sử dụng để đánh giá sỏi đường mật. Tuy nhiên, trong nhiều trường hợp, nguyên nhân do viêm gan virus cấp tính (vi rút viêm gan A). Các hình ảnh học thường gặp bao gồm gan to (hepatomegaly) với tín hiệu phù quanh cửa trên hình cộng hưởng từ trọng T2 (T2 WI). Dày thành túi mật lan tỏa và phù thành túi mật cũng là những dấu hiệu điển hình.
Chẩn đoán thường được khẳng định bằng xét nghiệm cận lâm sàng, với men gan tăng và phản ứng PCR dương tính với vi rút viêm gan A.
Chẩn đoán
Viêm gan cấp tính (acute hepatitis)
Chẩn đoán phân biệt
- 1.Viêm túi mật cấp
- 2.Tắc nghẽn đường mật do sỏi ống mật chủ
- 3.Xơ gan mất bù
Điểm giảng dạy
- "Phù quanh cửa trên cộng hưởng từ trọng T2 là dấu hiệu hình ảnh quan trọng của viêm gan cấp."
- "Dày thành túi mật lan tỏa có thể xảy ra trong các bệnh lý toàn thân như viêm gan virus cấp, không chỉ trong viêm túi mật."
- "Ống mật và ống tụy bình thường trên MRCP giúp loại trừ nguyên nhân tắc nghẽn gây vàng da."
Thảo luận
Viêm gan cấp, đặc biệt do virus viêm gan A, là nguyên nhân phổ biến gây vàng da và đau bụng ở các vùng lưu hành. Chẩn đoán hình ảnh đóng vai trò hỗ trợ, với cộng hưởng từ cho thấy gan to, phù quanh cửa (tín hiệu tăng trên hình trọng T2) và dày thành túi mật lan tỏa do viêm toàn thân và ứ trệ tĩnh mạch. Mặc dù MRCP thường được thực hiện để loại trừ tắc nghẽn đường mật, việc không thấy giãn ống mật hay tổn thương cản quang giúp khẳng định nguyên nhân không do tắc nghẽn. Xác nhận chẩn đoán bằng xét nghiệm men gan tăng và IgM kháng HAV hoặc PCR dương tính là cần thiết. Chẩn đoán hình ảnh giúp phân biệt viêm gan cấp với các nguyên nhân khác gây vàng da như sỏi ống mật chủ, khối u hoặc bệnh lý đường mật nguyên phát.





