Thu, Apr 9
AI Trực tuyến
Series (7)
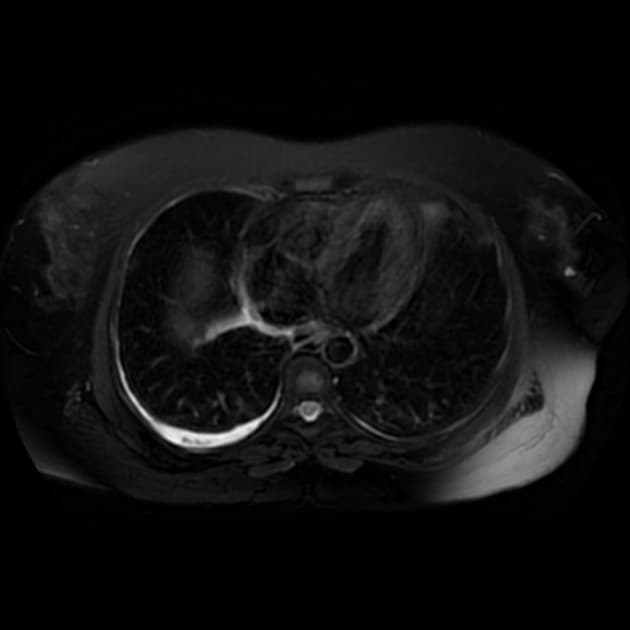
Axial FIESTA FS

MRI•Axial FIESTA FS•1 / 25
Ca bệnhSỏi túi mật (MRCP)
Sỏi túi mật (MRCP)
Nguồn gốc
Dữ liệu bệnh nhân
Tuổi50 year
Giới tínhMale
Bệnh sử lâm sàng
Rối loạn tiêu hóa trong ba tuần và tiền sử sỏi túi mật.
Chẩn đoán & Phát hiện
- Túi mật chứa nhiều viên sỏi, được hiển thị rõ trên các chuỗi xung MRI khác nhau.
- Các sỏi được xác định rõ nhất trên hình ảnh trọng T2 và MRCP do chúng hiện lên như các vùng giảm tín hiệu (hypointense) trong lòng túi mật.
- Không thấy hình ảnh dãn ống mật chủ (dilated common bile duct).
- Ống mật chủ (common bile duct) đi vào tá tràng bình thường, không thấy hình ảnh sỏi ống mật chủ (choledocholithiasis) hay hẹp (narrowing) tại đoạn cuối.
- Gan và các đường mật trong gan không có hình ảnh bất thường.
- Tụy, thận và các cấu trúc ổ bụng khác không có tổn thương đáng kể.
DISCUSSION:
- Hình ảnh trọng T2 và MRCP là các kỹ thuật hình ảnh lý tưởng để phát hiện sỏi túi mật và sỏi ống mật do đặc tính không tín hiệu (no signal) của sỏi trên các chuỗi xung này.
- MRCP đặc biệt hữu ích trong việc đánh giá đoạn xa ống mật chủ và điểm đổ vào tá tràng, nơi mà các phương pháp khác có thể khó quan sát.
- MRCP không xâm lấn, không cần thuốc cản quang và không có tia bức xạ, là lựa chọn hàng đầu khi nghi ngờ bệnh lý đường mật mà siêu âm không kết luận được.
Chẩn đoán
Sỏi túi mật (cholelithiasis) trên nền hình ảnh MRCP.
Chẩn đoán phân biệt
- 1.Sỏi ống mật chủ
- 2.Polyp túi mật
- 3.Bùn mật
Điểm giảng dạy
- "Sỏi túi mật hiện diện như các khuyết thiếu tín hiệu giảm đậm độ trong lòng túi mật trên hình ảnh trọng T2 và MRCP."
- "MRCP có độ nhạy cao trong việc phát hiện sỏi đường mật và là tiêu chuẩn vàng không xâm lấn để đánh giá hệ thống đường mật."
- "Việc không thấy dãn ống mật chủ và không có hình ảnh sỏi trong lòng ống mật trên MRCP giúp loại trừ sỏi ống mật chủ với độ chính xác cao."
Thảo luận
Sỏi túi mật, hay còn gọi là cholelithiasis, thường được phát hiện tình cờ hoặc ở bệnh nhân có các triệu chứng như đau quặn mật hoặc rối loạn tiêu hóa. MRCP là phương tiện hình ảnh không xâm lấn, hiệu quả cao, sử dụng các chuỗi xung trọng T2 để hiển thị dịch đứng yên trong hệ thống đường mật. Các viên sỏi hiện lên như những khuyết thiếu tín hiệu giảm đậm độ rõ ràng trong lòng túi mật hoặc ống mật. Khác với siêu âm, MRCP cung cấp hình ảnh rõ nét toàn bộ hệ thống đường mật, kể cả đoạn cuối ống mật chủ, mà không bị ảnh hưởng bởi hơi ruột hay thể trạng bệnh nhân. MRCP không cần thuốc cản quang hay tia bức xạ, do đó rất phù hợp để đánh giá các bệnh lý đường mật nghi ngờ khi siêu âm không kết luận được. Tuy nhiên, MRCP không đánh giá được chức năng túi mật hay tình trạng viêm thành túi mật, nên việc kết hợp với lâm sàng là cần thiết.






