Thu, Apr 9
AI Trực tuyến
Series (1)
Ultrasound

Ultrasound•Ultrasound•1 Img
Ca bệnhLạc nội mạc tử cung tại sẹo mổ
Lạc nội mạc tử cung tại sẹo mổ
Nguồn gốc
Dữ liệu bệnh nhân
Tuổi30 year
Giới tínhFemale
Bệnh sử lâm sàng
Tiền sử mổ lấy thai cách đây 3 năm. Bệnh nhân đến khám do có khối sờ được ở vùng bụng dưới bên phải, xuất hiện trong 6 tháng qua.
Khám lâm sàng phát hiện một khối u sờ được ở thành bụng trước, vị trí cách 1 cm phía trên đầu bên phải của sẹo mổ thành bụng.
Chẩn đoán & Phát hiện
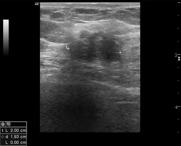
- Siêu âm cho thấy khối tổn thương hình bầu dục, giảm âm, giới hạn rõ, nằm ở vị trí nông, phía trên cơ thẳng bụng phải, làm lõm vào cơ này.
- Trên Doppler năng lượng, thấy một lượng nhỏ tín hiệu lưu thông ở vùng ngoại vi của khối tổn thương.
DISCUSSION:
Bệnh nhân đã được phẫu thuật cắt bỏ khối tổn thương.
Kết quả giải phẫu bệnh lý: u lạc nội mạc tử cung (endometrioma).
Chẩn đoán
Lạc nội mạc tử cung tại sẹo mổ (scar endometriosis)
Chẩn đoán phân biệt
- 1.Thoát vị thành bụng do mổ
- 2.U dạng sợi (desmoid)
- 3.U hạt hoặc phản ứng dị vật
Điểm giảng dạy
- "Lạc nội mạc tử cung tại sẹo mổ là dạng hiếm của lạc nội mạc ngoài khung chậu, xảy ra tại các sẹo mổ, đặc biệt sau mổ lấy thai."
- "Triệu chứng lâm sàng bao gồm đau theo chu kỳ và khối u sờ được gần sẹo mổ, thường liên quan đến chu kỳ kinh nguyệt."
- "Siêu âm thường cho thấy khối tổn thương rắn, giảm âm, giới hạn rõ ở thành bụng; cộng hưởng từ (MRI) có thể được dùng để đánh giá chi tiết hơn nếu cần."
Thảo luận
Lạc nội mạc tử cung tại sẹo mổ là một dạng lạc nội mạc do can thiệp y tế, xảy ra khi mô nội mạc tử cung vô tình được cấy vào thành bụng trong quá trình phẫu thuật, phổ biến nhất là sau mổ lấy thai. Bệnh thường biểu hiện bằng khối u đau, sờ được ở thành bụng, với các triệu chứng theo chu kỳ kinh nguyệt. Trên siêu âm, tổn thương thường là khối rắn, giảm âm, giới hạn rõ, nằm ở lớp dưới da hoặc cơ thành bụng trước. Mặc dù hình ảnh học có thể gợi ý chẩn đoán, nhưng cần xét nghiệm giải phẫu bệnh lý sau khi cắt bỏ để khẳng định. Các chẩn đoán phân biệt bao gồm thoát vị thành bụng do mổ, u dạng sợi và các tổn thương u hạt. Nhận biết sớm giúp tránh các xét nghiệm không cần thiết và điều trị phẫu thuật phù hợp.





