Series (8)
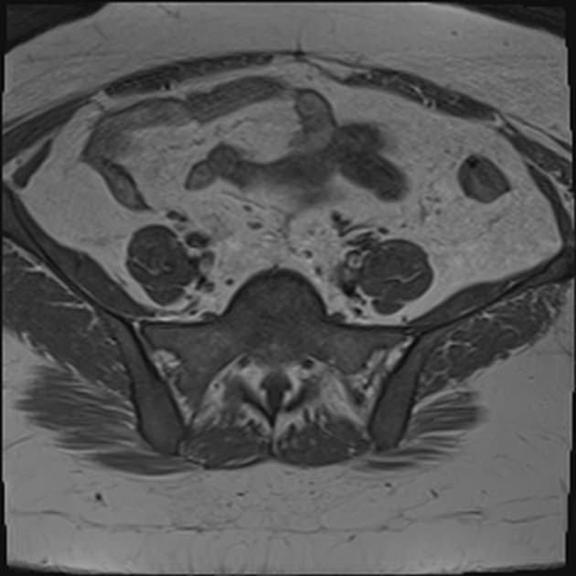
Axial T1

Lạc nội mạc tử cung sâu - dấu hiệu lá cỏ ba lá
Nguồn gốc
Dữ liệu bệnh nhân
Bệnh sử lâm sàng
- Đau vùng chậu.
Chẩn đoán & Phát hiện
-
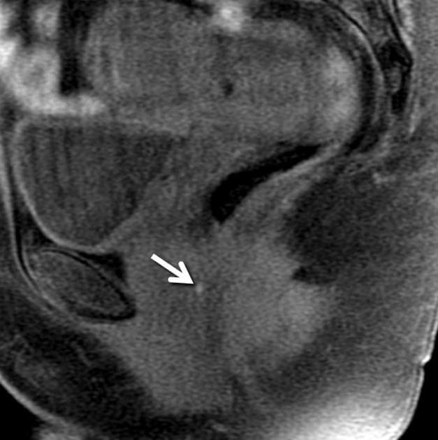
Dày đáng kể vùng nối nội mạc - cơ tử cung (endo-myometrial junctional zone), chủ yếu ở thành tử cung sau, phù hợp với lạc nội mạc tử cung trong cơ (adenomyosis).
-
Cả hai buồng trứng đều to, nằm gần nhau, chạm vào nhau ở đường giữa, tạo thành "dấu hiệu buồng trứng hôn nhau (kissing ovaries sign)", bên trong chứa các tổn thương dạng nang hai bên với nội dung xuất huyết và các mức dịch - dịch (fluid-fluid levels), mô tả mẫu hình phân tầng (dấu hiệu shading sign) – phù hợp với lạc nội mạc buồng trứng hai bên (bilateral endometriomas).
-
Torus uterinus dày lên, với nhiều ổ xuất huyết ở vùng phụ tạng hai bên, dọc theo mặt sau tử cung và vùng trước trực tràng.
-
Dày lên trên cộng hưởng từ T2 có tín hiệu giảm (T2 hypointense thickening) ở phần gần và phần giữa dây chằng tử cung cùng (uterosacral ligaments) hai bên.
-
Tử cung, cả hai buồng trứng và trực tràng bị kéo sát lại gần nhau do các dải dính co thắt / xơ hóa, dẫn đến "dấu hiệu lá cỏ ba lá (cloverleaf sign)" – một hình ảnh mới được mô tả trong lạc nội mạc tử cung xâm lấn sâu (deep infiltrating endometriosis).
-
Tăng sinh mạch máu vùng quanh tử cung (increased parametrial vascularity).
-
Không thấy hình ảnh (no evidence of) hẹp lòng hay tắc ruột do tắc nghẽn ở đoạn gần. Không thấy tổn thương rõ ràng ở dây chằng tròn, hay thành bụng trước.
-
Hình ảnh minh họa dấu hiệu lá cỏ ba lá (cloverleaf sign) khi tử cung, cả hai buồng trứng và trực tràng bị kéo sát lại gần nhau do các dính co thắt, cho thấy lạc nội mạc tử cung xâm lấn sâu (deep infiltrating endometriosis).
DISCUSSION:
- Các hình ảnh cộng hưởng từ (MRI) thấy phù hợp nhất với lạc nội mạc tử cung xâm lấn sâu, kèm theo lạc nội mạc buồng trứng hai bên và adenomyosis tử cung.
- Dấu hiệu lá cỏ ba lá (cloverleaf sign) trong lạc nội mạc tử cung xâm lấn sâu gợi ý mạnh đến phẫu thuật phức tạp hơn, với thời gian mổ kéo dài hơn, nguy cơ phải cắt đoạn ruột cao hơn, và nguy cơ mất máu nhiều hơn.
Chẩn đoán
Lạc nội mạc tử cung xâm lấn sâu - dấu hiệu lá cỏ ba lá (Deep endometriosis - cloverleaf sign)
Chẩn đoán phân biệt
- 1.Viêm vùng chậu kèm dính
- 2.Lạc nội mạc tử cung trong cơ tử cung liên quan
- 3.U ác tính buồng trứng kèm tổn thương phúc mạc
Điểm giảng dạy
- "Dấu hiệu lá cỏ ba lá trên cộng hưởng từ là hình ảnh đặc hiệu của lạc nội mạc tử cung xâm lấn sâu, đặc trưng bởi sự sát gần nhau của tử cung, hai buồng trứng và trực tràng do dính xơ hóa."
- "Các dải dính co thắt trong lạc nội mạc tử cung xâm lấn sâu có thể gây biến dạng giải phẫu nghiêm trọng và liên quan đến phẫu thuật phức tạp hơn, thời gian mổ kéo dài, và nguy cơ phải cắt đoạn ruột cao hơn."
- "Cộng hưởng từ là phương tiện hình ảnh ưu tiên để lập bản đồ trước mổ trong nghi ngờ lạc nội mạc tử cung xâm lấn sâu, giúp đánh giá chính xác mức độ bệnh và lên kế hoạch phẫu thuật đa chuyên khoa."





