Thu, Apr 9
AI Trực tuyến
Series (7)
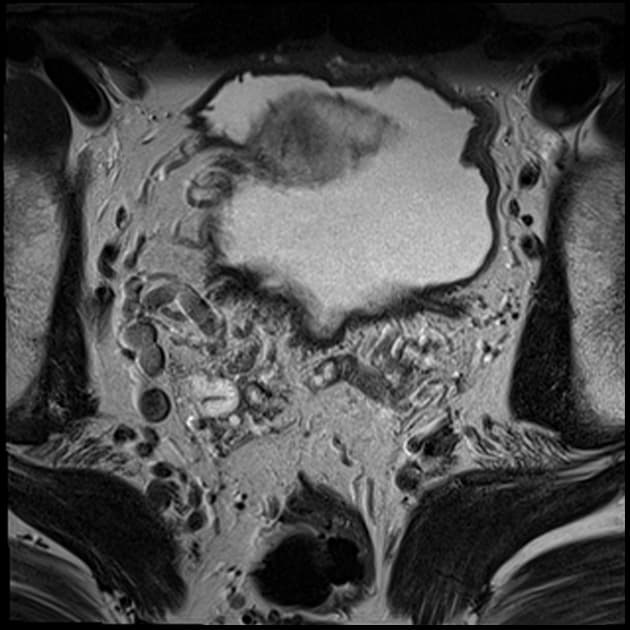
Axial T2

MRI•Axial T2•1 Img
Ca bệnhUng thư tuyến tiền liệt - nốt vùng đỉnh PI-RADS 3
Ung thư tuyến tiền liệt - nốt vùng đỉnh PI-RADS 3
Nguồn gốc
Dữ liệu bệnh nhân
Tuổi55 year
Giới tínhMale
Bệnh sử lâm sàng
- Chụp MRI sàng lọc do tăng PSA (raised PSA).
Chẩn đoán & Phát hiện
Chụp cộng hưởng từ đa tham số (mp MRI) tuyến tiền liệt (prostate)
- MRI đa mặt phẳng (multiplanar MRI) cho thấy một nốt vùng đỉnh phía trước (anterior apical nodule) thuộc vùng chuyển tiếp (transition zone), giới hạn không rõ (ill-defined), có hạn chế khuếch tán (restricted diffusion) và ngấm thuốc sớm mạnh (early avid enhancement).
- Hình ảnh PSMA PET cho thấy sự tập trung chất đánh dấu (tracer uptake) tương ứng với các phát hiện trên MRI.
- Sinh thiết qua siêu âm đầu dò trực tràng (TRUS biopsy) theo phương pháp nhận thức (cognitive) ban đầu cho kết quả âm tính.
- Sau đó, tiến hành sinh thiết dưới hướng dẫn của MRI (MRI guided biopsy) sử dụng hệ thống Dynatrim.
THẢO LUẬN (DISCUSSION):
- Kết quả sinh thiết dưới hướng dẫn của MRI dương tính với ung thư biểu mô tuyến (adenocarcinoma) theo báo cáo giải phẫu bệnh đính kèm.
- Trường hợp này làm nổi bật giá trị bổ sung của PSMA PET và sinh thiết đích trong máy MRI (in bore targeted biopsy) trong quá trình thăm dò một bệnh nhân nghi ngờ mắc ung thư tuyến tiền liệt (prostate cancer).
- Nó cũng minh họa việc sử dụng PI-RADS v2 trong việc phân độ các tổn thương và việc đưa vào một chuỗi xung chủ đạo (dominant sequence) ở vùng chuyển tiếp (transition zone) và vùng ngoại vi (peripheral zone), một sự thay đổi so với phiên bản 1.
Chẩn đoán
Ung thư tuyến tiền liệt (Prostate cancer) - nốt vùng đỉnh (apical nodule) PI-RADS 3
Chẩn đoán phân biệt
- 1.Nhân tăng sản lành tính tuyến tiền liệt (BPH)
- 2.Viêm tuyến tiền liệt
- 3.Ung thư biểu mô tuyến tiền liệt
Điểm giảng dạy
- "PI-RADS v2 sử dụng T2W làm chuỗi xung chủ đạo cho vùng chuyển tiếp và DWI cho vùng ngoại vi."
- "Sinh thiết đích trong máy MRI (in-bore) rất hiệu quả đối với các tổn thương ở vị trí khó như vùng đỉnh phía trước."
- "PSMA PET/CT cung cấp dữ liệu chuyển hóa bổ sung có tương quan với các phát hiện trên mpMRI trong phân độ ung thư tuyến tiền liệt."
Thảo luận
Trường hợp này trình bày một tổn thương PI-RADS 3 ở vùng chuyển tiếp phía trước vùng đỉnh, ban đầu bị bỏ sót bởi sinh thiết TRUS nhưng sau đó được xác nhận là ung thư biểu mô tuyến thông qua sinh thiết dưới hướng dẫn MRI. Ca lâm sàng nhấn mạnh tầm quan trọng của MRI đa tham số (mpMRI) và PSMA PET trong việc xác định các tổn thương nghi ngờ. Theo PI-RADS v2, chuỗi xung chủ đạo của vùng chuyển tiếp là T2W, trong khi vùng ngoại vi dựa vào DWI. Sinh thiết đích trong máy MRI là công cụ quan trọng để tiếp cận các tổn thương ở vị trí khó như vùng đỉnh, nơi mà sinh thiết TRUS tiêu chuẩn có thể thất bại.


