Thu, Apr 9
AI Trực tuyến
Series (5)
Axial C+ delayed

CT•Axial C+ delayed•1 / 64
Ca bệnhTAVI - thuyên tắc và di lệch van
TAVI - thuyên tắc và di lệch van
Nguồn gốc
Dữ liệu bệnh nhân
Tuổi80 year
Giới tínhMale
Bệnh sử lâm sàng
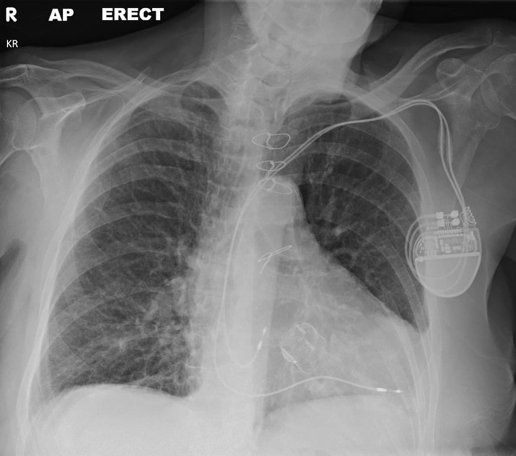
Chụp X-quang ngực kiểm tra trước khi chụp MRI (Pre-MRI check chest x-ray).
Chẩn đoán & Phát hiện
- Máy tạo nhịp tim (cardiac pacemaker) nằm ở vùng ngực trái với các đầu dây dẫn (lead tips) ở vị trí phù hợp. Không thấy các dây dẫn bị bỏ lại (abandoned leads).
- Ghi nhận TAVI tại vị trí dự kiến của gốc động mạch chủ (aortic root). Một giá đỡ lòng mạch (stent-graft) có hình dạng tương tự nằm ở cung động mạch chủ (aortic arch).
- Thể tích phổi thấp với các đường mờ dạng lưới (reticular markings) tăng lên, phù hợp với (consistent with) tình trạng xơ phổi (pulmonary fibrosis) đã biết.
4 năm trước
- TAVI nằm ở vị trí phù hợp tại gốc động mạch chủ (aortic root). Một TAVI thứ hai được nhìn thấy nằm kẹt ở cung động mạch chủ (aortic arch).
THẢO LUẬN (DISCUSSION): Xem xét hồ sơ bệnh án điện tử của bệnh nhân đã xác nhận tiền sử tuột van (dislodgement) và thuyên tắc (embolization) TAVI tại thời điểm cấy ghép, sau đó một TAVI thứ hai đã được cấy ghép thành công.
Thuyên tắc van (valve embolization) và di lệch (migration) xảy ra trong khoảng ~1% (dao động từ 0,3-0,7%) các trường hợp. Khi bị thuyên tắc vào đường ra thất trái, van có thể được thu hồi một phần và triển khai vào một đoạn động mạch chủ (aorta), giúp tránh phải phẫu thuật hở.
Chẩn đoán
TAVI - thuyên tắc và di lệch van (valve embolization and migration)
Chẩn đoán phân biệt
- 1.Giá đỡ lòng mạch động mạch chủ
- 2.Mảng xơ vữa động mạch chủ vôi hóa
- 3.Vật liệu phẫu thuật còn sót lại
Điểm giảng dạy
- "Thuyên tắc van TAVI là một biến chứng hiếm gặp, xảy ra trong khoảng 0,3-1% các trường hợp."
- "Nếu van bị tuột trong quá trình thủ thuật, nó thường có thể được định vị lại và triển khai ở cung động mạch chủ hoặc động mạch chủ xuống để tránh phẫu thuật tim hở."
- "Một van thứ hai thường được cấy vào đúng vị trí giải phẫu tại gốc động mạch chủ sau khi van thứ nhất đã được cố định ổn định."
Thảo luận
Thuyên tắc và di lệch van trong thay van động mạch chủ qua ống thông (TAVI) là những biến chứng ít gặp nhưng nghiêm trọng, với tỷ lệ khoảng 0,3-1%. Các nguyên nhân phổ biến bao gồm đặt sai vị trí, chọn kích thước van nhỏ hơn thực tế hoặc lỗi tạo nhịp trong khi triển khai. Khi van bị di lệch, nó thường được đưa đến một vị trí ổn định trong động mạch chủ (như cung động mạch chủ) và một van thứ hai sẽ được cấy vào đúng vị trí tại gốc động mạch chủ. Chiến lược xử trí này giúp tránh việc phải phẫu thuật tim hở cấp cứu.



