Series (2)
Axial non-contrast

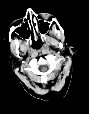
Nhồi máu vùng phân bố động mạch não giữa bên phải với dấu hiệu động mạch não giữa tăng tỷ trọng
Nguồn gốc
Dữ liệu bệnh nhân
Bệnh sử lâm sàng
Yếu nửa người trái.
Chẩn đoán & Phát hiện
- Giảm tỷ trọng nhẹ ở vỏ não đảo (insular cortex) bên phải và thùy thái dương liền kề, kèm theo mất phân biệt ranh giới vỏ-tủy (dấu hiệu dải vỏ đảo – insular ribbon sign), xóa nhẹ các rãnh não, cùng với dấu hiệu động mạch não giữa (MCA) tăng tỷ trọng bên phải, phù hợp với nhồi máu thiếu máu cục bộ cấp sớm trong vùng phân bố động mạch não giữa (MCA territory) bên phải.
- Không thấy hình ảnh xuất huyết nội sọ cấp tính.
- Tăng rộng lan tỏa khoảng gian màng nhện chứa dịch não tủy và giãn rõ các rãnh não hai bên, kèm giãn nhẹ não thất, biểu hiện của teo não vỏ mức độ nhẹ (liên quan đến tuổi).
THẢO LUẬN:
Nhồi máu thiếu máu cục bộ cấp sớm trong vùng phân bố động mạch não giữa (MCA) bên phải có thể biểu hiện rất kín đáo trên chụp CT không tiêm thuốc cản quang. Trường hợp này cho thấy giảm tỷ trọng nhẹ ở vỏ não đảo bên phải và thùy thái dương liền kề, mất phân biệt ranh giới vỏ-tủy (dấu hiệu dải vỏ đảo – insular ribbon sign), xóa nhẹ các rãnh não và dấu hiệu động mạch não giữa tăng tỷ trọng – tất cả đều gợi ý tắc mạch lớn sớm. Điểm ASPECTS ước tính là 9, phản ánh những thay đổi thiếu máu sớm còn hạn chế. Việc nhận biết các dấu hiệu CT sớm này là rất quan trọng để can thiệp kịp thời bằng tiêu sợi huyết hoặc can thiệp nội mạch.
Chẩn đoán
Nhồi máu vùng phân bố động mạch não giữa bên phải với dấu hiệu động mạch não giữa tăng tỷ trọng (right MCA territory infarct with dense MCA sign)
Chẩn đoán phân biệt
- 1.Bệnh não do hạ đường huyết
- 2.Liệt khu trú sau cơn động kinh (liệt Todd)
- 3.U não kèm thiếu máu cục bộ cấp
Điểm giảng dạy
- "Các dấu hiệu thiếu máu sớm trong vùng phân bố động mạch não giữa có thể rất kín đáo trên CT không tiêm thuốc cản quang."
- "Dấu hiệu dải vỏ đảo, xóa rãnh não và dấu hiệu động mạch não giữa tăng tỷ trọng là các dấu hiệu sớm quan trọng gợi ý đột quỵ thiếu máu cấp."
- "Điểm ASPECTS giúp lượng hóa mức độ tổn thương thiếu máu sớm và định hướng quyết định điều trị."



