Thu, Apr 9
AI Trực tuyến
Series (2)
Axial C+ arterial phase

CT•Axial C+ arterial phase•1 / 103
Ca bệnhViêm tụy cấp
Viêm tụy cấp
Nguồn gốc
Dữ liệu bệnh nhân
Tuổi40 year
Giới tínhMale
Bệnh sử lâm sàng
Bệnh nhân xuất hiện đau thượng vị dữ dội, đột ngột, lan ra sau lưng, liên tục trở mình tìm tư thế làm giảm đau.
Chẩn đoán & Phát hiện
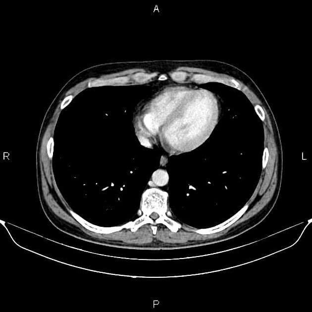
- Tụy (pancreas) bị giãn to, chủ yếu ở vùng đuôi tụy, kèm theo phù mô kẽ (edema) và tăng quang đồng đều (uniform contrast enhancement).
- Không thấy hình ảnh vùng hoại tử (necrotic areas).
- Có xâm nhiễm mỡ (fat infiltration) và dịch quanh tụy (fluid collection), lan vào bao mạc nối (omental bursa), rãnh cạnh đại tràng trái (left paracolic gutter) và vùng hạ vị (hypogastric region).
- Không thấy sỏi túi mật (gallstones).
- Có lượng nhỏ tràn dịch màng phổi trái (small amount of left-sided pleural effusion).
- Xẹp phổi từng phần (partial collapse) ở vùng đáy phổi hai bên, nặng hơn bên trái.
DISCUSSION:
Hình ảnh học, xét nghiệm máu và thăm khám lâm sàng phù hợp với (consistent with) chẩn đoán viêm tụy cấp (acute pancreatitis), độ Balthazar E, điểm CTSI = 4 (mức độ trung bình).
Chẩn đoán
Viêm tụy cấp (Acute pancreatitis)
Chẩn đoán phân biệt
- 1.Viêm tụy cấp do nguyên nhân mật
- 2.U nang giả tụy
- 3.Ung thư tụy
Điểm giảng dạy
- "Viêm tụy cấp thể phù nề kẽ thường biểu hiện bằng tình trạng giãn to tụy khu trú hoặc toàn bộ, tăng quang đồng đều, không có vùng hoại tử."
- "Xâm nhiễm mỡ quanh tụy và dịch quanh tụy là những dấu hiệu phổ biến trong viêm tụy cấp mức độ trung bình đến nặng."
- "Điểm CTSI = 4 cho thấy mức độ nghiêm trọng trung bình, tương ứng với độ Balthazar E và giúp định hướng điều trị lâm sàng."
Thảo luận
Các hình ảnh chụp cho thấy viêm tụy cấp thể phù nề kẽ, đặc trưng bởi tình trạng giãn to tụy, phù mô kẽ và tăng quang đồng đều, chủ yếu ở đuôi tụy. Dấu hiệu xâm nhiễm mỡ quanh tụy và dịch tích tụ lan vào bao mạc nối, rãnh cạnh đại tràng trái và vùng hạ vị hỗ trợ chẩn đoán viêm tụy cấp mức độ trung bình. Việc không thấy vùng hoại tử giúp loại trừ thể viêm tụy hoại tử. Tràn dịch màng phổi trái ít và xẹp phổi từng phần ở đáy phổi hai bên, nặng hơn bên trái, là các phát hiện thứ phát phổ biến do dịch viêm và kích thích cơ hoành. Không phát hiện sỏi mật, nguyên nhân có thể không do mật. Điểm CTSI = 4 (độ Balthazar E) xác nhận mức độ bệnh trung bình, thường cần nhập viện và điều trị hỗ trợ, tiên lượng tốt hơn so với các thể hoại tử.



