Thu, Apr 9
AI Trực tuyến
Series (6)
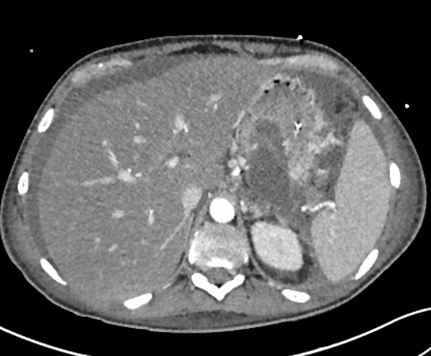
Axial C+ portal venous phase

CT•Axial C+ portal venous phase•1 / 141
Ca bệnhCác ổ dịch quanh tụy cấp tính
Các ổ dịch quanh tụy cấp tính
Nguồn gốc
Dữ liệu bệnh nhân
Tuổi65 year
Giới tínhMale
Bệnh sử lâm sàng
- Đau bụng cấp tính trong ba ngày.
Chẩn đoán & Phát hiện
- Tụy phì đại lan tỏa và tăng quang đồng nhất, phù hợp với viêm tụy phù nề giao kẽ cấp tính (acute interstitial edematous pancreatitis), đi kèm theo là các ổ dịch quanh tụy (peripancreatic fluid collections).
- Huyết khối tĩnh mạch lách (splenic vein thrombosis) thứ phát do viêm lân cận.
- Giá trị suy giảm ở gan thấp hơn lách, gợi ý gan nhiễm mỡ (fatty liver).
DISCUSSION:
Theo Phân loại Atlanta sửa đổi (Revised Atlanta Classification), các ổ dịch tụy được định nghĩa dựa trên sự có mặt hay vắng mặt của hoại tử (necrosis). Khi không có hoại tử, các ổ dịch trong vòng 4 tuần đầu được gọi là các ổ dịch quanh tụy cấp tính (acute peripancreatic fluid collections – APFCs). Sau 4 tuần, nếu ổ dịch đã hình thành vỏ bao thì được gọi là nang giả (pseudocysts).
Chẩn đoán
Các ổ dịch quanh tụy cấp tính (acute peripancreatic fluid collections)
Chẩn đoán phân biệt
- 1.Nang giả tụy
- 2.Hoại tử tụy nhiễm trùng
- 3.Áp xe tụy
Điểm giảng dạy
- "Các ổ dịch quanh tụy cấp tính (APFCs) xuất hiện trong 4 tuần đầu của viêm tụy phù nề giao kẽ cấp tính và không chứa mô hoại tử."
- "APFCs thường tự hồi phục và hiếm khi cần can thiệp."
- "Huyết khối tĩnh mạch lách là biến chứng được ghi nhận của viêm tụy cấp do viêm lan tới các mạch máu liền kề."
Thảo luận
Các ổ dịch quanh tụy cấp tính (APFCs) là phát hiện hình ảnh phổ biến trong viêm tụy phù nề giao kẽ cấp tính. Theo Phân loại Atlanta sửa đổi, APFCs được định nghĩa là các ổ dịch đồng nhất, có mật độ dịch ở vùng quanh tụy, xuất hiện trong vòng 4 tuần đầu tiên kể từ khi khởi phát triệu chứng và không chứa thành phần hoại tử rắn. Những ổ dịch này thường tự hồi phục với điều trị bảo tồn. Ngược lại, nếu có mô hoại tử, thuật ngữ 'ổ hoại tử cấp tính' được sử dụng. Sau bốn tuần, nếu ổ dịch hình thành vách bao, nó được phân loại lại là nang giả nếu không có hoại tử, hoặc ổ hoại tử có vách (WON) nếu vẫn còn mô hoại tử. Huyết khối tĩnh mạch lách là biến chứng mạch máu khu trú của viêm tụy cấp, thường thứ phát do thay đổi viêm ở các mô quanh tụy. Mặc dù chống đông hệ thống có thể được cân nhắc trong một số trường hợp, điều trị chủ yếu tập trung vào xử lý viêm tụy nền.

