Thu, Apr 9
AI Trực tuyến
Series (3)
C+ arterial phase

CT•C+ arterial phase•1 / 51
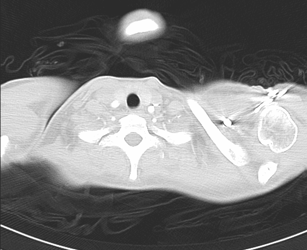
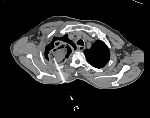
Ca bệnhViêm phổi do nấm ở bệnh nhân suy giảm miễn dịch
Viêm phổi do nấm ở bệnh nhân suy giảm miễn dịch
Nguồn gốc
Dữ liệu bệnh nhân
Tuổi60 year
Giới tínhMale
Bệnh sử lâm sàng
Bệnh nhân đang được điều trị bệnh bạch cầu tủy cấp. Có các triệu chứng ho, sốt và khó thở.
Chẩn đoán & Phát hiện
- Tổn thương xâm nhập chủ yếu ở thuỳ trên bên phải.
- Các ổ khí trong tổn thương đặc trưng, không có mức dịch.
- Dấu hiệu vòng ngược (reverse halo) hay còn gọi là dấu hiệu đảo san hô (atoll sign).
DISCUSSION:
- Đã thực hiện phẫu thuật cắt bỏ thuỳ trên bên phải, chẩn đoán xác định là mucormycosis xâm lấn (invasive mucormycosis).
Chẩn đoán
Viêm phổi do nấm ở bệnh nhân suy giảm miễn dịch (fungal pneumonia in an immunocompromised patient)
Chẩn đoán phân biệt
- 1.Viêm phổi do aspergillosis xâm lấn
- 2.Viêm phổi do cryptococcus
- 3.Viêm phổi do pneumocystis jirovecii
Điểm giảng dạy
- "Dấu hiệu vòng ngược (dấu hiệu đảo san hô) là một hình ảnh CT đặc trưng gồm vùng mờ kính mờ trung tâm được bao quanh bởi vành đặc chắc hình lưỡi liềm hoặc hình vòng, thường gặp trong các nhiễm trùng nấm xâm lấn ở bệnh nhân suy giảm miễn dịch."
- "Mucormycosis xâm lấn cần được nghi ngờ ở bệnh nhân suy giảm miễn dịch có các nốt hoặc đặc chắc phổi kèm tiền sử ung thư huyết học hoặc giảm bạch cầu trung tính."
- "Chẩn đoán sớm, can thiệp phẫu thuật kết hợp điều trị kháng nấm kịp thời là yếu tố then chốt giúp cải thiện tiên lượng trong viêm phổi do nấm xâm lấn."
Thảo luận
Viêm phổi do nấm xâm lấn là một biến chứng đe dọa tính mạng ở bệnh nhân suy giảm miễn dịch, đặc biệt là những người mắc bệnh ác tính về máu như bạch cầu tủy cấp. Mucormycosis, do các nấm thuộc bộ Mucorales gây ra, là một nhiễm trùng hung hãn, tiến triển nhanh thành hoại tử mô và xâm lấn mạch máu. Về hình ảnh học, dấu hiệu vòng ngược ngày càng được nhận diện như một dấu hiệu gợi ý viêm phổi do nấm xâm lấn, nhất là ở giai đoạn sớm. Mặc dù dấu hiệu này không đặc hiệu hoàn toàn, nhưng sự hiện diện của nó ở bệnh nhân suy giảm miễn dịch cần được đánh giá sâu hơn. Chẩn đoán thường cần xác nhận bằng sinh thiết mô học, và điều trị bao gồm dùng thuốc kháng nấm sớm như amphotericin B, cùng với cắt bỏ ngoại khoa nếu khả thi. Các chẩn đoán phân biệt bao gồm các nhiễm trùng cơ hội khác như aspergillosis, cryptococcosis và viêm phổi do pneumocystis, những bệnh này có thể có hình ảnh học trùng lặp.



