Series (4)
Frontal

Luxatio erecta - trật khớp vai hướng xuống dưới kèm gãy đầu trên xương cánh tay
Nguồn gốc
Dữ liệu bệnh nhân
Bệnh sử lâm sàng
Bị chó nhà đụng phải, mất thăng bằng và ngã xuống đất. Cánh tay ở tư thế duỗi thẳng.
Chẩn đoán & Phát hiện
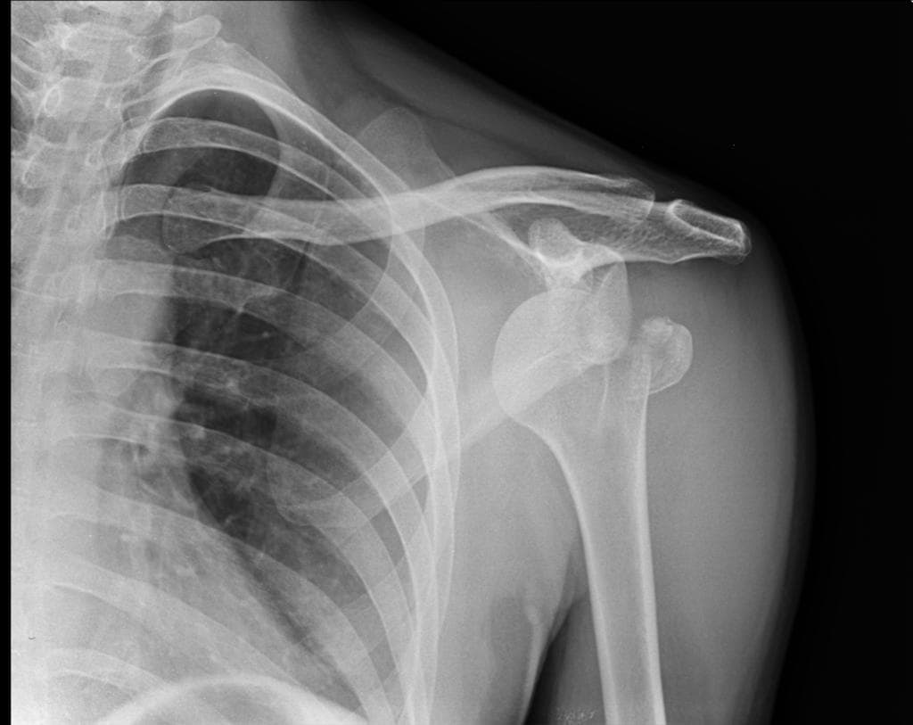
Chỏm xương cánh tay bị trật xuống dưới kèm gãy vụn đầu trên xương cánh tay và di lệch mấu động lớn. Lưu ý tư thế dạng của xương cánh tay. Hình ảnh X-quang sau nắn chỉnh tình trạng trật khớp vai. Không phát hiện tổn thương Bankart xương. Gãy vụn đầu trên xương cánh tay. THẢO LUẬN: Trật khớp vai xuống dưới, còn được gọi là luxatio erecta, là loại trật khớp vai ít gặp nhất. Trong trật khớp vai xuống dưới, cánh tay được giữ ở tư thế dạng do chỏm xương cánh tay bị kẹt dưới bờ xương ổ chảo. Trật khớp xuống dưới có thể giống với trật khớp vai ra trước kiểu dưới ổ chảo, trong đó chỏm xương cánh tay nằm ngay dưới mỏm ổ chảo của xương bả vai trên các bình diện thẳng và nghiêng.
Chẩn đoán
Luxatio erecta - trật khớp vai dưới kèm gãy đầu gần xương cánh tay
Chẩn đoán phân biệt
- 1.Gãy xương
- 2.Trật khớp
- 3.Tổn thương mô mềm
- 4.Trật khớp vai ra trước
- 5.Trật khớp vai ra sau
- 6.Trật khớp dưới quạ
- 7.Trật khớp vai ra trước kiểu dưới ổ chảo
Điểm giảng dạy
- "Cơ chế chấn thương: Ngã"
- "Tầm quan trọng của việc đánh giá gãy xương và trật khớp ở bệnh nhân chấn thương"
- "Luxatio erecta là một dạng trật khớp vai hiếm gặp, trong đó xương cánh tay bị giữ ở tư thế dạng cố định."
- "Nó thường đi kèm với gãy mấu động lớn hoặc đầu gần xương cánh tay."
- "Nguy cơ cao tổn thương thần kinh mạch máu, đặc biệt là dây thần kinh và động mạch nách."
- "Trật khớp vai xuống dưới (luxatio erecta) là loại ít gặp nhất."
- "Cánh tay được giữ ở tư thế dạng do chỏm xương cánh tay bị kẹt dưới bờ xương ổ chảo."
- "Trật khớp xuống dưới có thể giống với trật khớp vai ra trước kiểu dưới ổ chảo."





