Series (10)
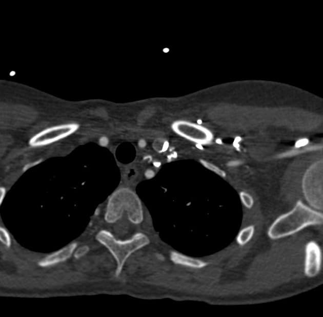
Axial C+ arterial phase

Tuần hoàn Fontan (CT)
Nguồn gốc
Dữ liệu bệnh nhân
Bệnh sử lâm sàng
Bệnh tim bẩm sinh phức tạp: chuyển vị đại động mạch có sửa chữa bẩm sinh kiểu L, thất trái nhỏ, hội chứng thiểu sản tim trái (HLHS) - thiểu sản cung động mạch chủ. Tình trạng sau phẫu thuật nối tĩnh mạch chủ - động mạch phổi toàn phần (TCPC) và đặt stent vị trí nối TCPC - động mạch phổi trái (LPA).
Chẩn đoán & Phát hiện
BÀN LUẬN: Một ví dụ về tuần hoàn Fontan ở một bệnh nhân có miệng nối Damus-Kaye-Stansel do bệnh tim bẩm sinh phức tạp kèm chuyển vị đại động mạch kiểu L (L-TGA) và hội chứng thiểu sản tim trái (HLHS).
Việc tiêm đồng thời thuốc cản quang chứa iod bằng cách lựa chọn vị trí tiêm phù hợp (qua chi trên và chi dưới) hoặc phương pháp quy trình tiêm kép giúp đảm bảo thời điểm bơm thuốc và bắt đầu quét, cho phép toàn bộ vòng tuần hoàn Fontan ngấm thuốc đậm hơn, từ đó tối ưu hóa và làm đồng nhất sự tăng quang đồng thời của đường dẫn Fontan và các động mạch phổi.
Sự chênh lệch thời gian ngấm thuốc của tĩnh mạch chủ trên (SVC) và tĩnh mạch chủ dưới (IVC), sự hòa trộn không hoàn toàn trong vòng tuần hoàn Fontan, và dòng chảy thuốc cản quang khác biệt vào các động mạch phổi dẫn đến tình trạng ngấm thuốc không đồng nhất của đường dẫn Fontan.
Những khó khăn trong việc làm hiện hình cả động mạch phổi và động mạch chủ trong cùng một thì trong bối cảnh kết nối tĩnh mạch chủ - phổi toàn phần (TCPC) bao gồm khả năng xuất hiện nhiễu ảnh dòng xoáy, dòng tĩnh mạch gan chưa ngấm thuốc, hoặc sự hòa trộn không hoàn toàn. Một lựa chọn khác là quét thì muộn khi máu tĩnh mạch trở lại đường dẫn Fontan sau khi đi qua tuần hoàn hệ thống.
Ở những bệnh nhân có kết nối Fontan tâm nhĩ - phổi, rối loạn chức năng tâm thất đáng kể, hoặc hở van nhĩ thất nặng, do tuần hoàn chậm, việc quét muộn sau một phút (60 hoặc 90 giây) thường giúp hệ mạch máu nội ngực ngấm thuốc đầy đủ với mức độ không đồng nhất tối thiểu, đồng thời quan sát rõ đường hầm bên giữa ống dẫn Fontan và tâm nhĩ phải.
Xin gửi lời cảm ơn và tri ân đặc biệt đến Bác sĩ Ajay Prashanth Dsouza (Bác sĩ Chẩn đoán hình ảnh tư vấn và Trưởng khoa), Bác sĩ Muhammad Anwar (Bác sĩ Chẩn đoán hình ảnh tư vấn), Bác sĩ Mohamed Sulaiman (Bác sĩ Tim mạch nhi), Jukha Shater Ali Ali AL Badawi (Quản lý khoa Chẩn đoán hình ảnh), Khoa Chẩn đoán hình ảnh, Bệnh viện chuyên khoa nhi Al Jalila, Dubai, UAE vì đã đóng góp ca bệnh này.
Chẩn đoán
Tuần hoàn Fontan (CT)
Chẩn đoán phân biệt
- 1.Hòa trộn thuốc cản quang không hoàn toàn
- 2.Nhiễu ảnh dòng xoáy
- 3.Dòng tĩnh mạch gan chưa ngấm thuốc
- 4.Chuyển vị đại động mạch kiểu D
- 5.Teo van ba lá
- 6.Thất phải hai đường thoát
- 7.Nối tắt Glenn
- 8.Phẫu thuật bán Fontan
- 9.Nối tắt Blalock-Taussig
Điểm giảng dạy
- "Quy trình tiêm kép qua chi trên và chi dưới giúp tối ưu hóa việc làm hiện hình vòng tuần hoàn Fontan."
- "Quét thì muộn (60-90 giây) hữu ích ở bệnh nhân có tuần hoàn chậm hoặc rối loạn chức năng tâm thất."
- "Việc làm hiện hình đồng thời động mạch phổi và động mạch chủ là một thách thức trong TCPC do sự chênh lệch thời gian."
- "ccTGA được đặc trưng bởi sự bất tương hợp cả tâm nhĩ-tâm thất và tâm thất-đại động mạch."
- "HLHS bao gồm một phổ các tình trạng kém phát triển của các cấu trúc tim bên trái, bao gồm van hai lá, thất trái và động mạch chủ."
- "TCPC (Phẫu thuật nối tĩnh mạch chủ - động mạch phổi toàn phần) là giai đoạn cuối cùng của phẫu thuật tạm thời Fontan cho sinh lý học một tâm thất."
- "Tuần hoàn Fontan dẫn máu tĩnh mạch hệ thống trực tiếp đến động mạch phổi mà không qua thất phải"
- "CT là thiết yếu để đánh giá sự thông thoáng của ống nối, hẹp và huyết khối"
- "Xác định tuần hoàn bàng hệ là một phần quan trọng trong đánh giá hình ảnh sau phẫu thuật Fontan"
