Thu, Apr 9
AI Trực tuyến
Series (3)
Axial T2

MRI•Axial T2•1 Img
Ca bệnhNang trong tuyến tiền liệt: có khả năng là nang ống Mullerian
Nang trong tuyến tiền liệt: có khả năng là nang ống Mullerian
Nguồn gốc
Dữ liệu bệnh nhân
Tuổi50 year
Giới tínhMale
Bệnh sử lâm sàng
Chẩn đoán & Phát hiện
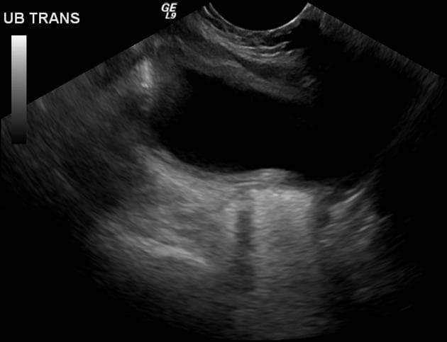
- Khối dạng nang (cystic mass) nằm ở vùng ngoại vi tuyến tiền liệt (peripheral prostate gland), phần trung tâm (center portion), có vẻ như không thông với niệu đạo tiền liệt tuyến (non communicating with the prostatic urethra).
Chẩn đoán
Nang trong tuyến tiền liệt (intraprostatic cyst): có khả năng là nang ống Mullerian (probable Mullerian duct cyst).
Chẩn đoán phân biệt
- 1.Nang túi bầu dục tuyến tiền liệt
- 2.Nang ống phóng tinh
- 3.Nang túi tinh
- 4.Áp xe tuyến tiền liệt
Điểm giảng dạy
- "Nang ống Mullerian thường nằm ở đường giữa và không thông với niệu đạo tiền liệt tuyến."
- "Chúng thường có hình quả lê và mở rộng lên trên từ đáy tuyến tiền liệt."
- "Khác với nang túi bầu dục, chúng thường được chẩn đoán ở người lớn và thường không liên quan đến lỗ tiểu thấp hoặc tinh hoàn ẩn."
Thảo luận
Nang ống Mullerian là di tích bẩm sinh của ống Mullerian không thoái triển ở nam giới. Những nang này thường nằm ở đường giữa, phía sau niệu đạo tiền liệt tuyến và phía trên gò tinh (verumontanum). Một đặc điểm chẩn đoán quan trọng là chúng thường không thông với niệu đạo, giúp phân biệt với nang túi bầu dục tuyến tiền liệt. Về mặt lâm sàng, chúng có thể không có triệu chứng hoặc biểu hiện ở độ tuổi 30-40 với các triệu chứng như xuất tinh máu, đau vùng chậu hoặc tắc nghẽn đường tiểu. Trên chẩn đoán hình ảnh (siêu âm, CT hoặc MRI), chúng xuất hiện dưới dạng cấu trúc chứa dịch đơn thuần hoặc phức tạp mở rộng lên trên tuyến tiền liệt.

