Thu, Apr 9
AI Trực tuyến
Series (7)
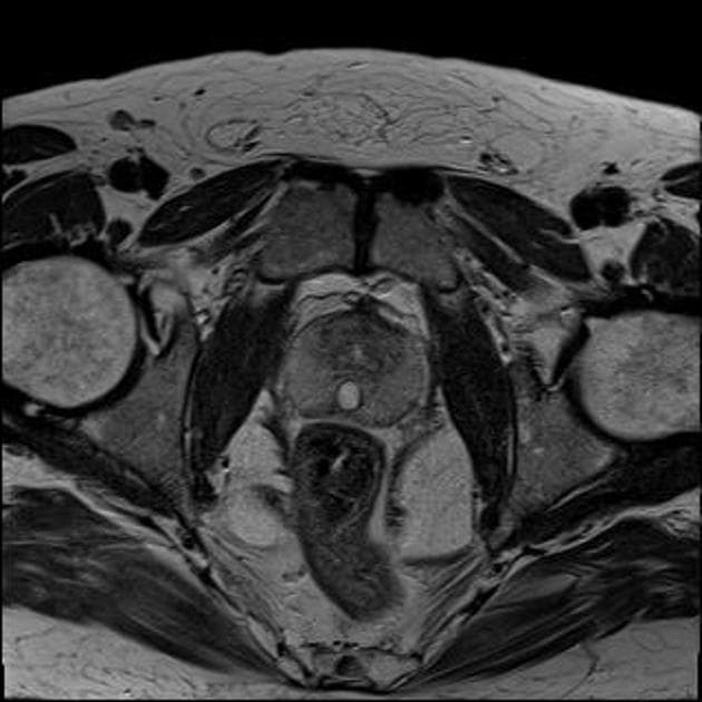
Axial t1_vibe_dixon_post_W

MRI•Axial t1_vibe_dixon_post_W•1 / 15
Ca bệnhNang ống Mullerian (Mullerian duct cyst)
Nang ống Mullerian (Mullerian duct cyst)
Nguồn gốc
Dữ liệu bệnh nhân
Tuổi20 year
Giới tínhMale
Bệnh sử lâm sàng
- Đau vùng trên xương mu (suprapubic pain).
Chẩn đoán & Phát hiện
- Có một tổn thương dạng nang (cystic lesion) giới hạn tương đối rõ (well defined), nằm ở đường giữa (midline), phía sau bàng quang (bladder) tại vùng tuyến tiền liệt.
- Tổn thương tăng tín hiệu (hyperintense) trên các hình ảnh T2W và không thấy tăng quang (no enhancement) trên phim chụp T1W sau tiêm thuốc tương phản (post contrast scan).
- Nang mở rộng lên trên đến giữa các túi tinh (seminal vesicles), có hình quả lê (pear-like shape) và không thấy sự thông thương rõ ràng với niệu đạo (urethra).
- Đồng thời ghi nhận có ít mô tuyến tiền liệt (prostatic tissue).
THẢO LUẬN (DISCUSSION): Tổn thương dạng nang (cystic lesion) ở đường giữa vùng tuyến tiền liệt, mở rộng lên phía trên tuyến tiền liệt, không thông thương với niệu đạo, gợi ý (suggestive of) nang ống Mullerian (mullerian duct cyst).
Chẩn đoán
Nang ống Mullerian (Mullerian duct cyst)
Chẩn đoán phân biệt
- 1.Nang túi bầu dục tuyến tiền liệt
- 2.Nang ống phóng tinh
- 3.Nang túi tinh
- 4.Túi thừa ống dẫn tinh
Điểm giảng dạy
- "Nang ống Mullerian nằm ở đường giữa, thường có hình quả lê và không thông thương với niệu đạo."
- "Chúng thường được phát hiện ở người trưởng thành và có thể mở rộng lên phía trên tuyến tiền liệt."
- "Cộng hưởng từ (MRI) là phương pháp lựa chọn để đánh giá mối quan hệ của nang với các cấu trúc xung quanh."
Thảo luận
Nang ống Mullerian là một di tích bẩm sinh của ống Mullerian. Đây thường là một tổn thương dạng nang ở đường giữa, không tăng quang, nằm sau bàng quang và phía trên đáy tuyến tiền liệt. Khác với nang túi bầu dục tuyến tiền liệt, nang ống Mullerian thường lớn hơn, xuất hiện ở bệnh nhân lớn tuổi hơn (thường từ 20-40 tuổi) và không thông thương với niệu đạo sau. Chúng có thể liên quan đến các triệu chứng như đau vùng trên xương mu, tiểu nhiều lần hoặc xuất tinh máu.
