Thu, Apr 9
AI Trực tuyến
Series (2)
Ultrasound

Ultrasound•Ultrasound•1 / 26
Ca bệnhNang túi bầu dục tuyến tiền liệt (Prostatic utricle cyst)
Nang túi bầu dục tuyến tiền liệt (Prostatic utricle cyst)
Nguồn gốc
Dữ liệu bệnh nhân
Giới tínhMale
Bệnh sử lâm sàng
- Để loại trừ trào ngược bàng quang niệu quản (vesicoureteric reflux).
Chẩn đoán & Phát hiện
Chụp bàng quang niệu đạo khi tiểu (MCUG)
- Thuốc cản quang làm hiện hình một nang túi bầu dục (utricle cyst).
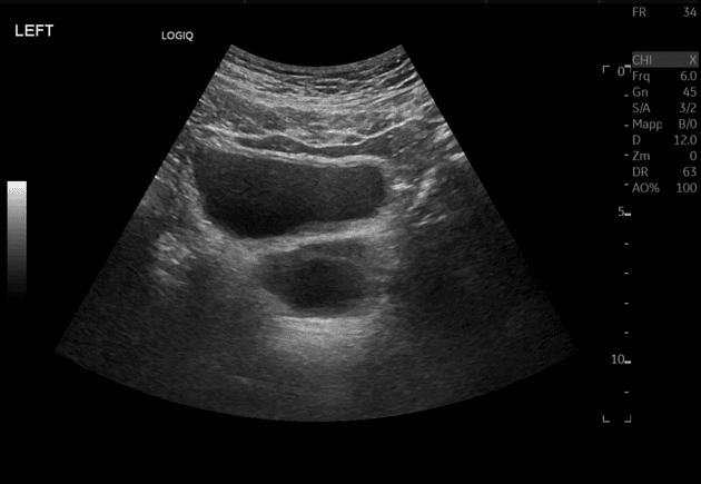
Siêu âm (Ultrasound)
- Một nang túi bầu dục tuyến tiền liệt (prostatic utricle cyst) nằm ở đường giữa (midline), giới hạn rõ (well-defined).
Chẩn đoán
Nang túi bầu dục tuyến tiền liệt (Prostatic utricle cyst)
Chẩn đoán phân biệt
- 1.Nang ống Müller
- 2.Nang ống phóng tinh
- 3.Nang túi tinh
- 4.Áp xe tuyến tiền liệt
Điểm giảng dạy
- "Nang túi bầu dục tuyến tiền liệt là các cấu trúc nằm ở đường giữa, xuất phát từ gò niệu đạo (verumontanum)."
- "Chúng thường liên quan đến tật lỗ tiểu thấp, tinh hoàn ẩn và bất sản thận."
- "Khác với nang ống Müller, nang túi bầu dục tuyến tiền liệt thường thông với niệu đạo sau."
- "Trên phim MCUG, chúng biểu hiện dưới dạng một túi chứa đầy thuốc cản quang kéo dài ra phía sau từ niệu đạo."
Thảo luận
Nang túi bầu dục tuyến tiền liệt là sự giãn bẩm sinh của túi bầu dục, một di tích của ống cận trung thận (Müller). Đây là một nang vùng chậu nằm ở đường giữa, thông với niệu đạo sau tại vị trí gò niệu đạo. Những nang này thường được phát hiện ở trẻ em trong quá trình thăm khám các dị tật như lỗ tiểu thấp hoặc rối loạn biệt hóa giới tính. Mặc dù nhiều trường hợp không có triệu chứng, các nang lớn có thể dẫn đến nhiễm trùng đường tiết niệu tái phát, rỉ nước tiểu sau khi tiểu hoặc hình thành sỏi do ứ đọng nước tiểu. Chẩn đoán hình ảnh qua siêu âm cho thấy một cấu trúc dạng dịch ở đường giữa sau bàng quang, trong khi chụp MCUG có giá trị xác định nhờ hiển thị sự thông thương với niệu đạo.

