Thu, Apr 9
AI Trực tuyến
Series (2)
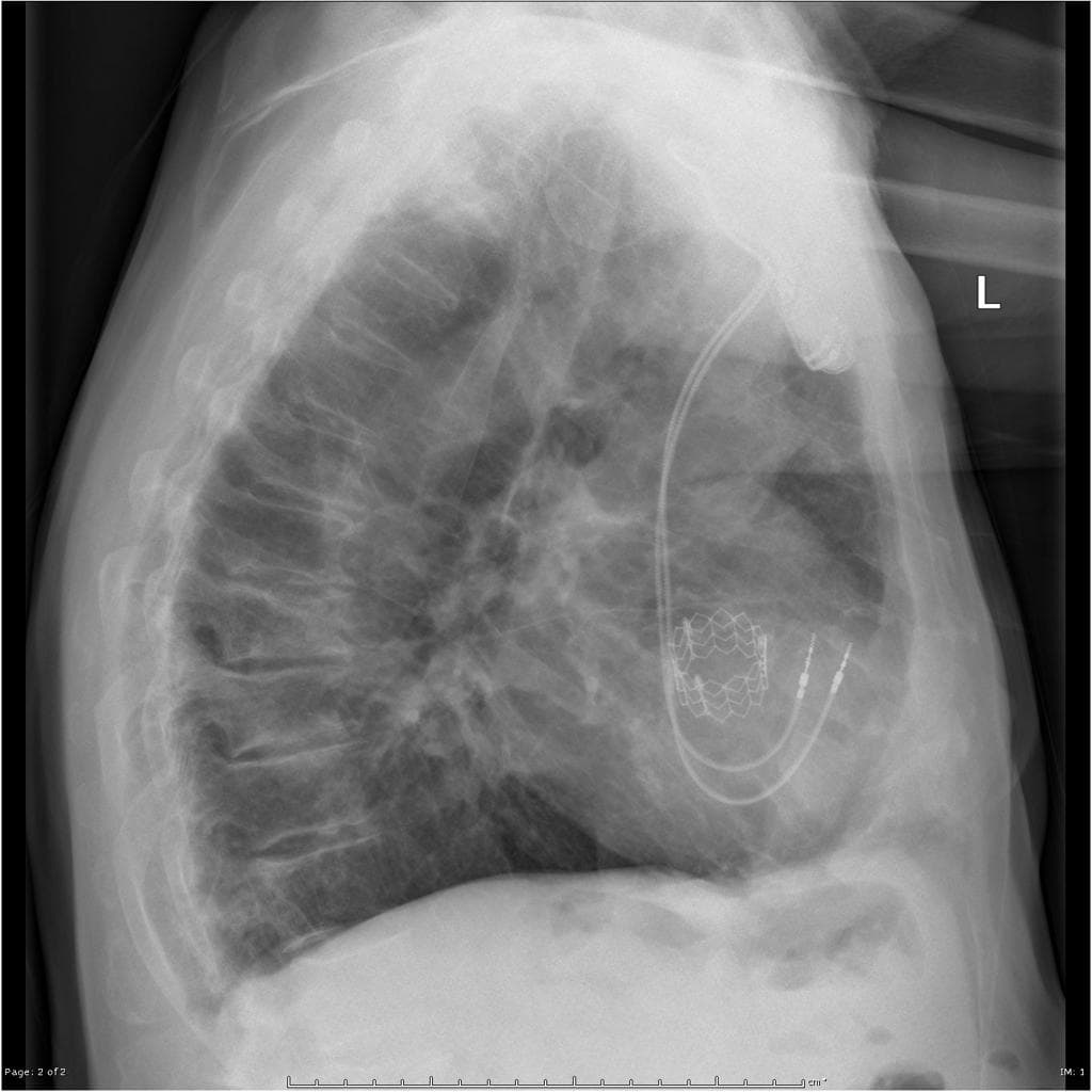
Lateral

X-ray•Lateral•1 Img
Ca bệnhThay van động mạch chủ qua ống thông đường qua da
Thay van động mạch chủ qua ống thông đường qua da
Nguồn gốc
Dữ liệu bệnh nhân
Giới tínhFemale
Bệnh sử lâm sàng
- Hẹp van động mạch chủ (aortic stenosis) mức độ nặng kèm theo rối loạn chức năng thất trái (left ventricular dysfunction).
- Khó thở (shortness of breath) tiến triển khi gắng sức (on exertion).
- Được điều trị bằng tạo hình van qua da (percutaneous valvuloplasty).
Chẩn đoán & Phát hiện
- Stent kim loại (metallic stent) tại vị trí của van động mạch chủ (aortic valve) và động mạch chủ lên (ascending aorta).
- Quan sát rõ nhất trên phim nghiêng (lateral view).
THẢO LUẬN (DISCUSSION): Sau khi chọc động mạch đùi (femoral arterial puncture), van động mạch chủ (aortic valve) ban đầu được nong bằng bóng (balloon dilated), sau đó một stent có thể giãn nở (expandable stent) được đặt xuyên qua vòng van (annulus), bên trong chứa các lá van nhân tạo (artificial internal valve leaflets).
Chẩn đoán
Thay van động mạch chủ qua ống thông đường qua da (Percutaneous transcatheter aortic valve replacement)
Chẩn đoán phân biệt
- 1.Thay van động mạch chủ qua phẫu thuật (SAVR)
- 2.Vôi hóa van động mạch chủ
- 3.Phình gốc động mạch chủ
Điểm giảng dạy
- "TAVR là phương pháp thay thế xâm lấn tối thiểu cho phẫu thuật thay van ở bệnh nhân hẹp van động mạch chủ nặng."
- "Van nhân tạo bao gồm một khung stent kim loại chứa các lá van sinh học."
- "Trên hình ảnh, thiết bị thường nằm ở vòng van động mạch chủ và được quan sát rõ nhất trên phim X-quang ngực nghiêng."
Thảo luận
Thay van động mạch chủ qua ống thông (TAVR), còn được gọi là TAVI, là một thủ thuật được sử dụng để điều trị hẹp van động mạch chủ nặng có triệu chứng, đặc biệt ở những bệnh nhân có nguy cơ trung bình đến cao khi phẫu thuật tim hở. Thủ thuật thường bao gồm tiếp cận qua động mạch đùi, sau đó là tạo hình van bằng bóng đối với van tự nhiên. Một van bằng vật liệu sinh học có thể thu nhỏ (thường là màng tim bò hoặc lợn) gắn trên một stent kim loại sau đó được triển khai xuyên qua vòng van. Trên hình ảnh X-quang, stent xuất hiện dưới dạng cấu trúc hình trụ cản quang tại vị trí van động mạch chủ, dễ dàng nhận diện trên phim nghiêng hơn so với phim thẳng.

