Thu, Apr 9
AI Trực tuyến
Series (2)
Lateral

X-ray•Lateral•1 Img
Ca bệnhThay van động mạch chủ qua ống thông
Thay van động mạch chủ qua ống thông
Nguồn gốc
Bệnh sử lâm sàng
Chẩn đoán & Phát hiện
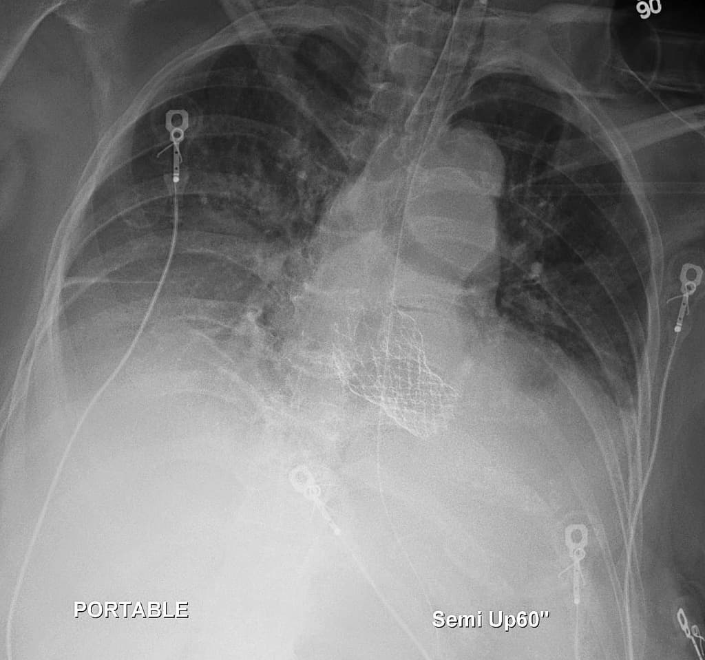
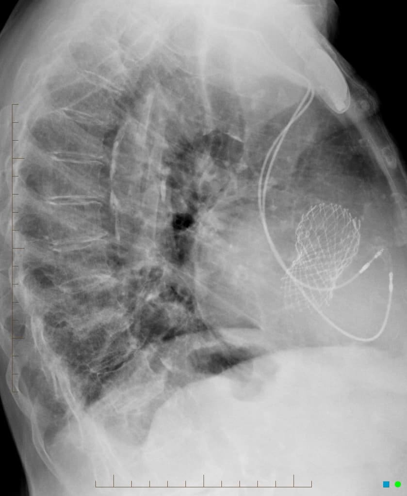
- Quan sát rõ nhất trên phim nghiêng là hình ảnh thay van động mạch chủ qua ống thông (transcatheter aortic valve replacement - TAVR), còn được gọi là cấy van động mạch chủ qua ống thông (transcatheter aortic valve implantation - TAVI).
- Máy tạo nhịp (pacing device) hai dây dẫn bên trái tại chỗ (in situ).
- Phổi có các thay đổi phù hợp với (consistent with) bệnh đường hô hấp tắc nghẽn mạn tính (COAD).
- Đám mờ giới hạn không rõ (ill-defined opacity) được ghi nhận ở cả hai vùng thấp, đại diện cho hình ảnh mô mềm phía trên chồng hình (superimposed) lên các xương sườn (ribs) và nhu mô phổi (pulmonary parenchyma).
Chẩn đoán
Thay van động mạch chủ qua ống thông (transcatheter aortic valve replacement)
Chẩn đoán phân biệt
- 1.Thay van động mạch chủ qua phẫu thuật (SAVR)
- 2.Vôi hóa van động mạch chủ
- 3.Van tim cơ học
Điểm giảng dạy
- "TAVR là một thủ thuật xâm lấn tối thiểu để thay thế van động mạch chủ bị dày lên và không thể mở bình thường (hẹp van động mạch chủ)."
- "Khớp giả TAVR thường được nhìn thấy trong gốc động mạch chủ và thường được quan sát tốt nhất trên phim X-quang ngực nghiêng."
- "Rối loạn dẫn truyền cần máy tạo nhịp tim vĩnh viễn là một biến chứng tiềm ẩn đã được ghi nhận sau TAVR."
Thảo luận
Thay van động mạch chủ qua ống thông (TAVR), còn được gọi là cấy van động mạch chủ qua ống thông (TAVI), là một phương pháp thay thế cho phẫu thuật thay van động mạch chủ (SAVR) cho những bệnh nhân bị hẹp van động mạch chủ nặng có triệu chứng, đặc biệt là những người có nguy cơ phẫu thuật cao. Thủ thuật này bao gồm việc triển khai một van sinh học thông qua ống thông, thường là qua đường động mạch đùi. Trên hình ảnh, van xuất hiện dưới dạng một khung giống stent cản quang nằm ở mức vòng van động mạch chủ. Các bác sĩ chẩn đoán hình ảnh nên biết về hình dạng điển hình này để tránh nhầm lẫn với các van phẫu thuật và để theo dõi các biến chứng như di lệch van hoặc việc đặt các thiết bị hỗ trợ tim liên quan.

