Thu, Apr 9
AI Trực tuyến
Series (6)
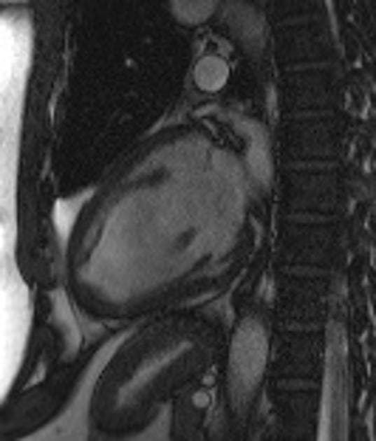
Early gadolinium phase

MRI•Early gadolinium phase•1 / 3
Ca bệnhHuyết khối mỏm thất trái
Huyết khối mỏm thất trái
Nguồn gốc
Dữ liệu bệnh nhân
Tuổi40 year
Giới tínhMale
Bệnh sử lâm sàng
- Bệnh nhân không có tiền sử bệnh tim mạch đã biết.
- Phát hiện tình cờ huyết khối (thrombus) trên siêu âm tim (echo).
Chẩn đoán & Phát hiện
- Hình ảnh cine 2 buồng và 4 buồng cho thấy một tổn thương (lesion) bám dính vào mỏm thất trái (left ventricular apex), vùng này bị vô động (akinetic).
- Trên chuỗi xung tưới máu thì đầu (first pass perfusion), tổn thương này có tín hiệu thấp (low signal) xuyên suốt quá trình thuốc đối quang từ gadolinium đi vào thất phải, thất trái và cơ tim; hình ảnh này phù hợp với (consistent with) một tổn thương không mạch máu (avascular lesion). Việc thu nhận hình ảnh ở mặt cắt 4 buồng thay vì trục ngắn sẽ giúp bộc lộ tổn thương tốt hơn.
- Đối với hình ảnh gadolinium thì sớm (early gadolinium imaging) (< 4 phút), thời gian đảo nghịch (inversion time) dài khoảng 440ms được lựa chọn để xóa tín hiệu các tổn thương không mạch máu không chứa gadolinium. Điều này làm nổi bật huyết khối (thrombus) bằng cách làm cho nó rất giảm tín hiệu (hypointense) so với các mô xung quanh có chứa gadolinium. Tín hiệu thấp đồng nhất (homogenous low signal) phù hợp với (consistent with) huyết khối (thrombus) hoặc tắc nghẽn vi mạch (microvascular obstruction) (hiện tượng không tái tưới máu - no-reflow phenomenon).
- Trong hình ảnh gadolinium thì muộn (late gadolinium imaging) (> 8 phút), thời gian đảo nghịch (inversion time) ngắn ban đầu được chọn để xóa tín hiệu cơ tim giàu gadolinium, từ đó làm nổi bật bất kỳ vùng tăng quang (enhancement) cơ tim nào. Điều này cũng tình cờ dẫn đến việc xóa mỡ vì mỡ có giá trị T1 ngắn (~150ms). Thời gian đảo nghịch được tăng dần khi quá trình chụp thì muộn tiến triển, vì gadolinium washout khỏi cơ tim và giá trị T1 của cơ tim tăng dần trở lại mức cơ bản.
- Trong trường hợp này, ghi nhận tình trạng tăng quang xuyên thành (transmural enhancement) ở vùng mỏm, phù hợp với (consistent with) nhồi máu (infarct) động mạch liên thất trước (LAD) trước đó và cơ tim không còn sống (non-viable myocardium). Nhìn chung, các hình ảnh này là của một đợt nhồi máu (infarct) im lặng trước đây gây vô động (akinesis), dẫn đến hình thành huyết khối (thrombus) vùng mỏm kế cận vùng cơ tim bị tổn thương và vô động.
CT tim có cổng điện tâm đồ (ECG gated cardiac CT)
- CT mạch vành cho thấy huyết khối (thrombus) mỏm thất trái (mũi tên xanh lá).
- Đoạn xa của động mạch liên thất trước (LAD) dạng "vòng quanh mỏm" bị tắc mạch (occluded) (mũi tên trắng), cũng như nhánh chéo (diagonal branch) cuối cùng (mũi tên vàng).
THẢO LUẬN: Cộng hưởng từ (MRI) tim thường sẽ bộc lộ các vùng nhồi máu (infarct) im lặng ở những bệnh nhân không có triệu chứng. Các phát hiện trên CT mạch vành minh họa cho tầm quan trọng của việc theo dõi động mạch liên thất trước (LAD) xuống tận điểm tận cùng của nó (bao gồm cả nhánh chéo cuối cùng), đặc biệt là ở những động mạch liên thất trước (LAD) đi vòng quanh mỏm tim.
Chẩn đoán
Huyết khối (thrombus) mỏm thất trái
Chẩn đoán phân biệt
- 1.Huyết khối mỏm thất trái
- 2.Tắc nghẽn vi mạch (hiện tượng không tái tưới máu)
- 3.U nhầy tim
- 4.U sợi chun nhú
Điểm giảng dạy
- "MRI tim có thể phát hiện các đợt nhồi máu cơ tim im lặng ở bệnh nhân không có triệu chứng."
- "Thời gian đảo nghịch (TI) dài trong hình ảnh gadolinium thì sớm giúp phân biệt huyết khối với các mô có mạch máu."
- "Việc đánh giá đoạn xa của động mạch liên thất trước (LAD) và các nhánh của nó là rất quan trọng, đặc biệt khi LAD đi vòng quanh mỏm tim."
Thảo luận
Huyết khối thất trái (LV) là một biến chứng thường gặp của nhồi máu cơ tim, đặc biệt khi có tình trạng vô động hoặc loạn động vùng mỏm. MRI tim có độ nhạy cao trong việc phát hiện, sử dụng chuỗi xung tăng cường gadolinium thì sớm (EGE) với thời gian đảo nghịch dài (~440ms) để xóa tín hiệu huyết khối, khiến nó có màu đen so với buồng tim và cơ tim sáng hơn. Tăng cường gadolinium thì muộn (LGE) giúp xác định vùng cơ tim bị nhồi máu, không còn sống. Trường hợp này làm nổi bật một đợt nhồi máu LAD im lặng dẫn đến hình thành huyết khối vùng mỏm, nhấn mạnh nhu cầu đánh giá kỹ lưỡng mạch vành.
