Tổng quan
Viêm màng ngoài tim co thắt (CP) là một hội chứng lâm sàng gây ra bởi sự mất tính đàn hồi của màng ngoài tim, dẫn đến hạn chế đổ đầy tâm trương của tim. Đây là kết quả của một quá trình viêm mãn tính biến màng ngoài tim bình thường (vốn mỏng và mềm mại) thành một cấu trúc cứng, xơ hóa và thường bị vôi hóa [5]. Lớp vỏ cứng nhắc này giới hạn tổng thể tích tim, gây ra sự gia tăng và cân bằng áp lực tâm trương ở cả bốn buồng tim. Có nhiều phân thể khác nhau, bao gồm viêm màng ngoài tim co thắt dính, viêm cấp tính và co thắt-tràn dịch [5].
Dịch tễ học
Tỷ lệ mắc viêm màng ngoài tim co thắt thay đổi đáng kể tùy theo khu vực địa lý và bối cảnh lâm sàng. Ở các nước đang phát triển, lao vẫn là nguyên nhân hàng đầu. Ở các nước phương Tây, các nguyên nhân phổ biến nhất bao gồm tiền sử phẫu thuật tim, xạ trị (thường điều trị ung thư trung thất), và viêm màng ngoài tim vô căn hoặc sau nhiễm virus [1]. Các nguyên nhân ít gặp hơn bao gồm bệnh mô liên kết, hội chứng ure huyết cao và sau chấn thương.
Biểu hiện lâm sàng
Bệnh nhân thường nhập viện với các triệu chứng của suy tim phải, chẳng hạn như phù ngoại vi, cổ trướng và sung huyết gan [4]. Các phàn nàn phổ biến bao gồm khó thở khi gắng sức tiến triển và mệt mỏi do thể tích nhát bóp cố định. Thăm khám lâm sàng có thể thấy tĩnh mạch cổ nổi (JVP) với sóng "y" xuống dốc rõ rệt, dấu hiệu Kussmaul (áp lực tĩnh mạch cổ tăng nghịch thường khi hít vào) và "tiếng gõ màng ngoài tim" (pericardial knock), một âm thanh cao độ nghe được ở đầu tâm trương.
Đặc điểm chẩn đoán hình ảnh
Cắt lớp vi tính (CT)
CT tim có độ nhạy cao trong việc đánh giá giải phẫu màng ngoài tim và được coi là tiêu chuẩn vàng để phát hiện vôi hóa màng ngoài tim [4].
-
Dày màng ngoài tim: CT có thể đo chính xác độ dày màng ngoài tim. Độ dày >3-4 mm thường được coi là bất thường. Tình trạng dày có thể lan tỏa hoặc khu trú [3].
-
Vôi hóa: Vôi hóa dễ dàng được nhận diện là các vùng có đậm độ cao. Mặc dù sự hiện diện của nó hỗ trợ chẩn đoán, cần lưu ý rằng vôi hóa màng ngoài tim có thể tồn tại mà không gây ra co thắt chức năng [4].
-
Hình thái học: CT cung cấp trường nhìn rộng để đánh giá các bệnh lý ngoài tim liên quan và giúp phân biệt giữa tràn dịch lượng ít và dày màng ngoài tim dựa trên chỉ số đậm độ (attenuation) [3].
-
Dấu hiệu phụ: CT thường cho thấy sự giãn rộng của các tâm nhĩ, giãn tĩnh mạch chủ, tĩnh mạch gan và xoang vành, cũng như tràn dịch màng phổi và cổ trướng [4].
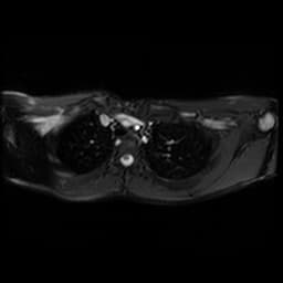
Cộng hưởng từ tim (CMR)
CMR là phương pháp lựa chọn để đặc trưng hóa mô toàn diện và đánh giá chức năng [3].
-
Giải phẫu và cường độ tín hiệu: Chuỗi xung T1-weighted máu đen (black-blood) rất tốt để quan sát màng ngoài tim dày và giảm tín hiệu [1]. Chuỗi xung T2-weighted có thể phát hiện phù nề, gợi ý thành phần viêm đang hoạt động.
-
Ngấm thuốc Gadolinium muộn (LGE): LGE được sử dụng để xác định tình trạng viêm màng ngoài tim đang hoạt động. Sự ngấm thuốc của màng ngoài tim gợi ý rằng tình trạng co thắt có thể đảo ngược bằng liệu pháp kháng viêm thay vì phẫu thuật [1].
-
Cine MRI: Các chuỗi xung cine thời gian thực có thể cho thấy dấu hiệu "septal bounce" (vách liên thất nảy nghịch thường), một sự di chuyển đột ngột của vách liên thất về phía thất trái trong khi hít vào, đây là dấu hiệu đặc trưng của sự phụ thuộc lẫn nhau giữa hai thất.
-
CMR Tagging: Kỹ thuật chuyên biệt này có thể phát hiện các dính kết giữa các lớp màng ngoài tim và cơ tim bằng cách cho thấy sự thiếu hụt hiện tượng "trượt cơ tim" trong chu kỳ tim [1].
-
Đánh giá cơ tim: CMR cũng được sử dụng để loại trừ teo cơ tim hoặc xơ hóa cơ tim trước khi lập kế hoạch phẫu thuật cắt màng ngoài tim [1].
Siêu âm tim
Mặc dù thường là công cụ sàng lọc đầu tay, siêu âm tim tập trung vào các hệ quả huyết động. Các phát hiện chính bao gồm tĩnh mạch chủ dưới giãn, sự thay đổi theo hô hấp của vận tốc dòng đổ đầy van hai lá và van ba lá, và dấu hiệu "septal bounce".
Chẩn đoán phân biệt
Chẩn đoán phân biệt chính của viêm màng ngoài tim co thắt là Bệnh cơ tim hạn chế (RCM). Phân biệt hai bệnh này là cực kỳ quan trọng vì phương pháp điều trị khác nhau cơ bản [1].
-
Độ dày màng ngoài tim: Thường tăng trong CP (>3-4 mm) nhưng bình thường trong RCM [3].
-
Sự phụ thuộc lẫn nhau của các thất: Hiện diện trong CP (dấu hiệu septal bounce trên hình ảnh) do màng ngoài tim cứng nhắc cách ly tim khỏi những thay đổi áp lực trong lồng ngực. Dấu hiệu này không có trong RCM.
-
Kích thước tâm nhĩ: Cả hai đều có thể thấy tâm nhĩ giãn, nhưng RCM thường biểu hiện sự giãn lớn hai tâm nhĩ mức độ nặng hơn.
-
Đặc trưng mô: CMR có thể xác định tình trạng thâm nhiễm cơ tim (ví dụ: amyloidosis) trong RCM, trong khi ở CP, bệnh lý khu trú ở màng ngoài tim [1].
Quản lý và Điều trị
Điều trị triệt để cho viêm màng ngoài tim co thắt mãn tính có triệu chứng là phẫu thuật cắt bỏ màng ngoài tim (pericardiectomy) [1]. Tuy nhiên, trong các trường hợp hình ảnh (như CMR LGE) cho thấy tình trạng viêm đang hoạt động, có thể thử nghiệm điều trị nội khoa bằng các thuốc kháng viêm (NSAIDs, colchicine, hoặc steroid) để đảo ngược sinh lý co thắt "tạm thời" [1], [5]. Việc lập kế hoạch phẫu thuật phụ thuộc nhiều vào CT và MRI để bản đồ hóa sự phân bố của vôi hóa và đánh giá mối quan hệ giữa màng ngoài tim với các động mạch vành bên dưới.