Series (1)
Ultrasound

Appendicitis
Nguồn gốc
Bệnh sử lâm sàng
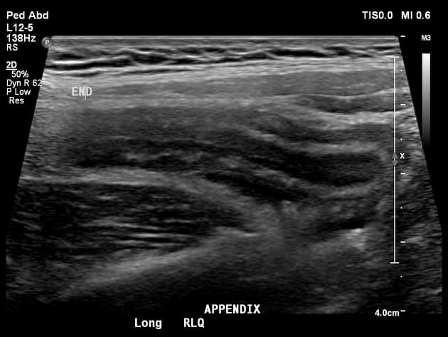
Triệu chứng lâm sàng: Đau nặng ở vùng dưới phải đã 3 ngày. Không nôn. Không sốt. Đau khi chạm ở vùng dưới phải.
Chẩn đoán & Phát hiện
Tìm thấy giãn phình phụ thuộc với thành dày, kích thước khoảng 1,4 cm. Phồng lên của thành tá tràng gần đó.
Có sự gián đoạn trên thành của phụ thuộc ở phần gốc với dịch xung quanh, rất đáng ngờ về tình trạng vỡ phụ thuộc. Dịch nhẹ hiện diện xung quanh phụ thuộc và viêm ở mô mỡ xung quanh.
THẢO LUẬN: Vì siêu âm không liên quan đến bức xạ ion hóa và là phương thức tốt hơn cho các tình trạng phụ khoa, nó được khuyến nghị là phương thức hình ảnh ban đầu ở trẻ em, phụ nữ trẻ và trong thời kỳ mang thai. Nó có độ nhạy và đặc hiệu rất cao trong chẩn đoán viêm phụ thuộc. Phương pháp nén có cấp độ được mô tả bởi Puylaert là phương pháp tiêu chuẩn cho đánh giá siêu âm về viêm phụ thuộc cấp. Áp lực từ từ, nhẹ nhàng và duy trì ở điểm đau và nhạy cảm tối đa giúp trình diễn phụ thuộc một cách dễ dàng. Nếu bệnh nhân không cho phép nén, chúng ta có thể sử dụng kỹ thuật của Baldisserotto bằng cách thay đổi vị trí của bệnh nhân để di chuyển các vòng ruột. Việc xác định vị trí của tá tràng rất quan trọng, giúp làm hướng dẫn trong việc tìm kiếm phụ thuộc. Trong trường hợp này, cả hai phương pháp đều được sử dụng vì bệnh nhân béo phì. Việc quay bệnh nhân sang vị trí nằm nghiêng trái ngay lập tức đã trình diễn phụ thuộc giãn. Giãn phụ thuộc hơn 6mm, dịch xung quanh và hạch to lên xác nhận chẩn đoán viêm phụ thuộc. Bệnh nhân cũng trải qua đau nhức nặng khi thực hiện siêu âm.
Chẩn đoán
Viêm ruột thừa


