Thu, Apr 9
AI Trực tuyến
Series (9)
LV outflow tract

Annotated image•LV outflow tract•1 Img
Ca bệnhGiải phẫu gốc động mạch chủ (Aortic root anatomy) (CTA)
Giải phẫu gốc động mạch chủ (Aortic root anatomy) (CTA)
Nguồn gốc
Bệnh sử lâm sàng
Chẩn đoán & Phát hiện
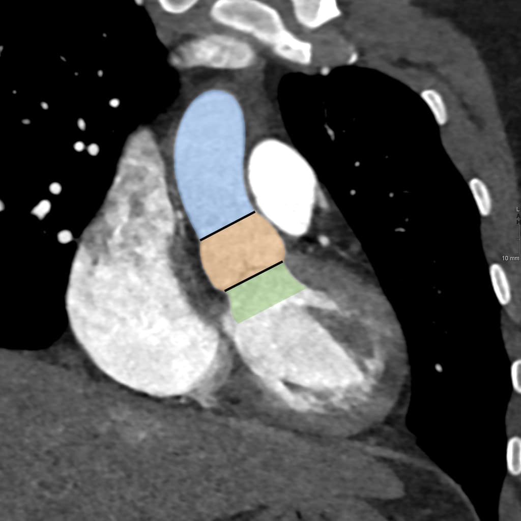
- Hình ảnh CTA mặt cắt vành chếch (oblique coronal CTA) của gốc động mạch chủ (aortic root) cho thấy các cấu trúc giải phẫu liên quan.
THẢO LUẬN (DISCUSSION):
- Gốc động mạch chủ (aortic root) nằm giữa vòng van động mạch chủ (aortic annulus) (vị trí nối giữa đường ra thất trái [left ventricle outflow tract] và van động mạch chủ [aortic valve]) và chỗ nối xoang ống (sinotubular junction) (nơi bắt đầu của động mạch chủ lên [ascending aorta]).
- Các kích thước này là cần thiết để lập kế hoạch thay van động mạch chủ qua ống thông (TAVI planning).
Chẩn đoán
Giải phẫu gốc động mạch chủ (Aortic root anatomy) (CTA)
Chẩn đoán phân biệt
- 1.Giải phẫu gốc động mạch chủ bình thường
- 2.Giãn gốc động mạch chủ
- 3.Van động mạch chủ hai lá
Điểm giảng dạy
- "Gốc động mạch chủ kéo dài từ vòng van động mạch chủ đến chỗ nối xoang ống."
- "Đo đạc chính xác gốc động mạch chủ là rất quan trọng để lập kế hoạch TAVI."
- "Gốc động mạch chủ bao gồm các xoang Valsalva và các lá van động mạch chủ."
Thảo luận
Gốc động mạch chủ là một vùng giải phẫu phức tạp nằm giữa đường ra thất trái và động mạch chủ lên. Nó bao gồm vòng van động mạch chủ, các xoang Valsalva và chỗ nối xoang ống. Đánh giá chính xác các cấu trúc này trên chụp cắt lớp vi tính mạch máu (CTA) là điều cần thiết để lập kế hoạch trước thủ thuật thay van động mạch chủ qua ống thông (TAVI), đảm bảo kích thước và vị trí đặt van nhân tạo chính xác.
