Thu, Apr 9
AI Trực tuyến
Series (9)
Aortic root

Annotated image•Aortic root•1 Img
Ca bệnhGiải phẫu gốc động mạch chủ (Aortic root anatomy) (CTA)
Giải phẫu gốc động mạch chủ (Aortic root anatomy) (CTA)
Nguồn gốc
Bệnh sử lâm sàng
Chẩn đoán & Phát hiện
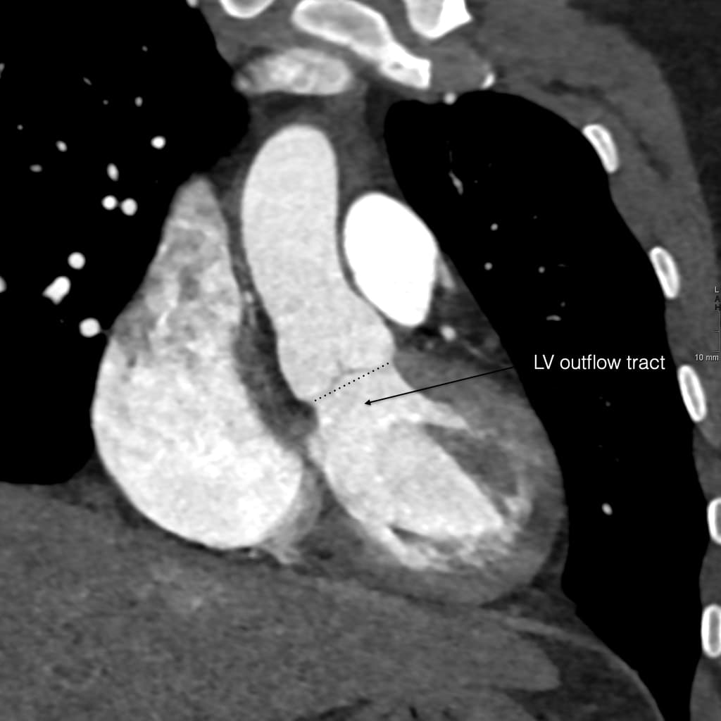
- Hình ảnh CTA mặt phẳng vành chếch (Oblique coronal CTA) của gốc động mạch chủ (aortic root) hiển thị các cấu trúc giải phẫu liên quan.
THẢO LUẬN (DISCUSSION):
- Gốc động mạch chủ (aortic root) nằm giữa vòng van động mạch chủ (aortic annulus) — là điểm nối giữa đường ra của thất trái (outflow tract of the left ventricle) và van động mạch chủ (aortic valve) — và chỗ nối xoang - ống (sinotubular junction) — nơi động mạch chủ lên (ascending aorta) bắt đầu.
- Các thông số kích thước này là bắt buộc để lập kế hoạch cho thủ thuật thay van động mạch chủ qua ống thông (TAVI planning).
Chẩn đoán
Giải phẫu gốc động mạch chủ (Aortic root anatomy) (CTA)
Chẩn đoán phân biệt
- 1.Giải phẫu gốc động mạch chủ bình thường
- 2.Phình gốc động mạch chủ
- 3.Van động mạch chủ hai lá
Điểm giảng dạy
- "Gốc động mạch chủ kéo dài từ vòng van động mạch chủ đến chỗ nối xoang - ống."
- "Đo đạc chính xác các kích thước gốc động mạch chủ là điều cần thiết để lập kế hoạch TAVI."
- "CTA là tiêu chuẩn vàng để đánh giá giải phẫu 3D phức tạp của gốc động mạch chủ."
Thảo luận
Gốc động mạch chủ là một vùng giải phẫu phức tạp nằm giữa đường ra thất trái và động mạch chủ lên. Nó bao gồm vòng van động mạch chủ (điểm nối giữa đường ra và van), các xoang Valsalva và chỗ nối xoang - ống (nơi động mạch chủ lên bắt đầu). Đánh giá chính xác các cấu trúc này trên chụp cắt lớp vi tính mạch máu (CTA) là rất quan trọng để lập kế hoạch trước thủ thuật thay van động mạch chủ qua ống thông (TAVI), vì nó đảm bảo lựa chọn kích thước van nhân tạo chính xác và giúp giảm thiểu các biến chứng trong thủ thuật.
