Series (5)
Mammography

Adenoma vú
Nguồn gốc
Dữ liệu bệnh nhân
Bệnh sử lâm sàng
Bệnh nhân nữ 35 tuổi, có khối u sờ được, di động ở vùng vú phải ngoại biên.
Chẩn đoán & Phát hiện
Do vị trí ngoại biên của tổn thương, tổn thương không được hiển thị rõ ràng trên các tư thế chuẩn theo hướng đầu-cơ và tư thế chéo trong ngoài. Tổn thương chỉ được ghi nhận một phần trên tư thế khe giữa.
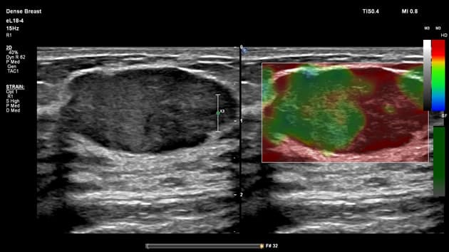
- Có một tổn thương đặc hình bầu dục, ranh giới rõ, giảm âm, kích thước khoảng 30x15 mm ở vùng vú phải ngoại biên. Tổn thương định hướng song song với da.
- Tổn thương thể hiện chủ yếu mô hình khảm (điểm Tsukuba: 2) với các vùng độ cứng hỗn hợp, phù hợp với tổn thương lành tính như adenoma vú (fibroadenoma).
THẢO LUẬN:
Adenoma vú là các khối u vú lành tính phổ biến, thường biểu hiện trên siêu âm là các khối giảm âm, hình bầu dục, ranh giới rõ, định hướng ngang.
Trong trường hợp này, vị trí ngoại biên của tổn thương làm giảm độ nhạy của các tư thế chụp nhũ ảnh chuẩn, nhấn mạnh tầm quan trọng của các tư thế bổ sung như tư thế khe giữa.
Siêu âm đàn hồi (elastography) có thể cung cấp thêm độ tin cậy chẩn đoán, vì adenoma vú thường thể hiện mô hình khảm đặc trưng, trái ngược với hình ảnh độ cứng đồng đều thường thấy ở các tổn thương ác tính.
Chẩn đoán được hỗ trợ bởi kết quả tế bào học trước đó và được khẳng định sau khi cắt bỏ phẫu thuật.
Chẩn đoán
Adenoma vú (fibroadenoma)
Chẩn đoán phân biệt
- 1.U phyllodes
- 2.Hamartoma vú
- 3.Thay đổi xơ nang kèm tăng sản tuyến khu trú
Điểm giảng dạy
- "Các tổn thương vú ngoại biên có thể không được hiển thị đầy đủ trên các tư thế nhũ ảnh chuẩn và cần các tư thế bổ sung như tư thế khe giữa."
- "Siêu âm đàn hồi có thể hỗ trợ phân biệt khối u lành tính và ác tính, với adenoma vú thường cho thấy mô hình độ cứng dạng khảm (điểm Tsukuba 2)."
- "Adenoma vú thường có hình bầu dục, ranh giới rõ, giảm âm và định hướng ngang trên siêu âm – các đặc điểm gợi ý tổn thương lành tính."
