Series (5)
Axial C+ arterial phase

Viêm thực quản ái toan cấp tính với tổn thương lan tỏa đến hạ họng và thanh quản
Nguồn gốc
Dữ liệu bệnh nhân
Bệnh sử lâm sàng
Đau họng cấp nặng và nuốt khó (dysphagia).
Chẩn đoán & Phát hiện
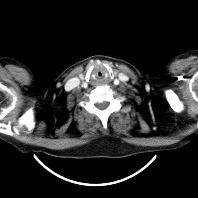
Trên toposcan, thấy giảm tỷ trọng (attenuation) của cột khí đạo trên. Ngoài ra, có hiện tượng giãn trung thất.
Dày thành thành mạch lan tỏa, dạng vòng quanh, lan rộng từ hầu họng, hạ họng và toàn bộ thực quản (quan sát thấy trên hình ảnh mặt cắt dọc và mặt cắt ngang), chèn ép rõ rệt vào lòng thực quản. Tổn thương cũng lan đến thanh quản với hiện tượng dày niêm mạc rõ rệt làm mất lòng thanh quản. Có hiện tượng dày mô mềm xung quanh vùng quanh họng và quanh thực quản, đồng thời thấy mờ các khe gian mỡ.
Diễn biến lâm sàng cấp tính, tổn thương lan tỏa và ảnh hưởng rộng đến thực quản và vùng hạ họng - thanh quản gợi ý một quá trình viêm cấp tính lan rộng. Các chẩn đoán phân biệt bao gồm nguyên nhân nhiễm trùng (ví dụ: Candida, HSV và lao), viêm do dị ứng hoặc trào ngược dạ dày thực quản nặng (GERD).
DISCUSSION:
Ca lâm sàng này biểu hiện dạng cấp tính của viêm thực quản ái toan vô căn (eosinophilic esophagitis - EoE) với tổn thương lan rộng đến đường thở trên và lan tỏa toàn bộ vùng hầu - thực quản. Sinh thiết ghi nhận các ổ xâm nhập giàu bạch cầu ái toan. Bệnh nhân được điều trị bằng thay đổi chế độ ăn (sau xét nghiệm dị ứng thực phẩm), thuốc ức chế bơm proton và corticosteroid đường uống, các triệu chứng sau đó cải thiện.
Viêm thực quản ái toan vô căn (EoE) là một quá trình viêm do miễn dịch, đặc trưng bởi sự xâm nhập của bạch cầu ái toan vào thành thực quản, thứ phát sau tiếp xúc với dị nguyên từ thực phẩm hoặc đường hô hấp. Cơ chế này kích hoạt phản ứng miễn dịch kiểu T-helper 2 (Th2), dẫn đến sự thu hút bạch cầu ái toan và tiết các cytokine như IL-5 và IL-13, duy trì vòng viêm.
Bệnh xảy ra chủ yếu ở nam giới.
Các đặc điểm hình ảnh học bao gồm:
-
Chụp thực quản cản quang bằng barium thường thấy thực quản có hình ảnh dạng vòng (thực quản hình mèo - feline esophagus)
-
Ở các trường hợp nặng, có thể thấy các đoạn hẹp dài hơn hoặc toàn bộ thực quản bị thu hẹp lan tỏa, trong một số trường hợp có thể kèm theo vỡ thực quản tự phát
Các hình ảnh nội soi trong viêm thực quản ái toan có thể từ niêm mạc nhìn bình thường đến các dấu hiệu viêm không đặc hiệu như các đoạn hẹp, các vòng thực quản đồng tâm (thực quản hình mèo / hình ảnh giống khí quản – trachealisation of the esophagus), các rãnh dọc (dấu hiệu “vết xe điện” – ‘tram tracks’ sign), các mảng trắng, niêm mạc thực quản dễ vỡ và rách sau khi đưa ống nội soi qua, đặc biệt trong các trường hợp nặng.
Số lượng tối đa bạch cầu ái toan (Peak Eosinophil Count - PEC): Ngưỡng chẩn đoán vàng là >15 bạch cầu ái toan trên một trường kính có độ phóng đại cao trong ít nhất một mẫu sinh thiết thực quản.
Chẩn đoán
Viêm thực quản ái toan cấp tính với tổn thương lan tỏa đến hạ họng và thanh quản (Fulminant eosinophilic esophagitis with laryngopharyngeal involvement)
Chẩn đoán phân biệt
- 1.Viêm thực quản do Candida
- 2.Viêm thực quản do virus herpes simplex (HSV)
- 3.Trào ngược dạ dày thực quản nặng kèm viêm thực quản
Điểm giảng dạy
- "Viêm thực quản ái toan cấp tính có thể biểu hiện với tổn thương lan rộng ở đường hô hấp - tiêu hóa trên, dễ nhầm với các bệnh nhiễm trùng hoặc do trào ngược nặng."
- "Chẩn đoán hình ảnh có thể ghi nhận hiện tượng dày thành vòng quanh thực quản và vùng hạ họng - thanh quản kèm hẹp lòng, giống với các bệnh viêm hoặc tổn thương khối u."
- "Chẩn đoán xác định cần sinh thiết ghi nhận hơn 15 bạch cầu ái toan trên một trường kính phóng đại cao, kết hợp đánh giá lâm sàng và nội soi."
