Tổng quan
Ung thư biểu mô tế bào gan (HCC) là loại ung thư gan nguyên phát phổ biến nhất. Một đặc điểm điển hình của HCC là xu hướng xâm lấn mạch máu lớn, thường gặp nhất là hệ thống tĩnh mạch cửa. Tuy nhiên, ở các giai đoạn tiến triển, HCC có thể lan rộng vào các tĩnh mạch gan và sau đó là tĩnh mạch chủ dưới (IVC).
Huyết khối tĩnh mạch chủ dưới do u đại diện cho giai đoạn tiến triển của bệnh (BCLC giai đoạn C). Tình trạng này xảy ra khi khối u phát triển trực tiếp vào lòng hệ thống tĩnh mạch, tạo thành một khuôn rắn có thể kéo dài về phía trên tới tâm nhĩ phải. Tình trạng này làm phức tạp đáng kể diễn tiến lâm sàng, tăng nguy cơ di căn hệ thống (đặc biệt là thuyên tắc phổi do các mảnh vỡ của u) và đặt ra thách thức lớn cho việc quản lý ngoại khoa và can thiệp.
Dịch tễ học
Tỷ lệ xâm lấn mạch máu lớn trong HCC là rất cao, với huyết khối tĩnh mạch cửa (PVTT) xảy ra ở tối đa 40% bệnh nhân. Ngược lại, huyết khối do u liên quan đến tĩnh mạch gan hoặc tĩnh mạch chủ dưới ít phổ biến hơn, được báo cáo ở khoảng 1% đến 4% các trường hợp HCC tại thời điểm chẩn đoán.
Tình trạng này thường được thấy ở những bệnh nhân có khối u lớn, nằm ở trung tâm hoặc liên quan đến thùy gan phải. Bệnh phổ biến hơn ở các khu vực có gánh nặng nhiễm viêm gan B và C mạn tính cao. Nếu không được điều trị, tiên lượng cực kỳ kém, với thời gian sống thêm trung bình thường chỉ tính bằng tháng.
Biểu hiện lâm sàng
Biểu hiện lâm sàng của HCC kèm huyết khối tĩnh mạch chủ dưới thường bị chi phối bởi tình trạng xơ gan nền tảng và bản thân khối u nguyên phát. Tuy nhiên, các triệu chứng cụ thể liên quan đến tắc nghẽn tĩnh mạch có thể xuất hiện:
-
Phù chi dưới: Sưng nề hai chân do cản trở dòng máu tĩnh mạch trở về.
-
Hội chứng Budd-Chiari (Thứ phát): Đặc trưng bởi gan to, cổ trướng và đau bụng do tắc nghẽn đường ra của tĩnh mạch gan.
-
Tuần hoàn bàng hệ đầu sứa: Các tĩnh mạch thành bụng nổi rõ.
-
Thuyên tắc phổi: Khởi phát đột ngột khó thở hoặc đau ngực nếu một phần của huyết khối u bị vỡ và di chuyển lên phổi.
-
Triệu chứng tim mạch: Nếu huyết khối lan vào tâm nhĩ phải, nó có thể gây ra các triệu chứng suy tim phải hoặc tắc nghẽn van tim.
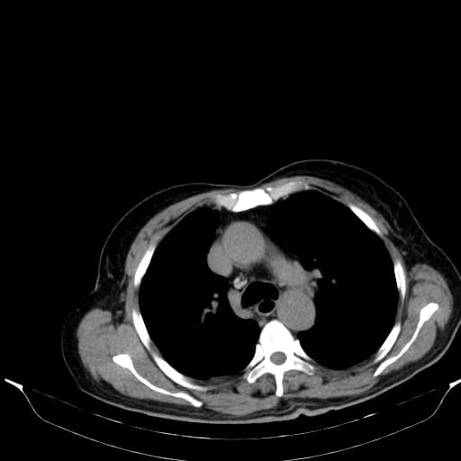
Đặc điểm hình ảnh
Hình ảnh học đóng vai trò quan trọng trong việc phân biệt huyết khối u với huyết khối tĩnh mạch thông thường (máu đông) và phân giai đoạn mức độ lan rộng của bệnh.
Siêu âm
-
Siêu âm 2D: Cho thấy một khối có hồi âm (echogenic) lấp đầy và làm giãn lòng tĩnh mạch chủ dưới.
-
Doppler màu: Sự hiện diện của dòng chảy "động mạch hóa" bên trong huyết khối là một dấu hiệu đặc hiệu cao của huyết khối u, phản ánh sự tân tạo mạch máu từ động mạch gan.
-
Siêu âm có chất tương phản (CEUS): Huyết khối ngấm thuốc nhanh trong thì động mạch, tương tự như khối HCC nguyên phát, sau đó là hiện tượng "thải thuốc" (wash-out) ở các thì muộn.
Cắt lớp vi tính (CT)
-
Sự giãn rộng: Tĩnh mạch chủ dưới bị ảnh hưởng thường bị giãn ra bởi huyết khối.
-
Kiểu ngấm thuốc: Dấu hiệu đáng tin cậy nhất là sự ngấm thuốc của huyết khối trong thì động mạch (tăng tưới máu). Điều này giúp phân biệt với huyết khối thông thường, vốn không ngấm thuốc (tỷ trọng thấp).
-
Dấu hiệu "Sợi và vệt" (Thread and Streaks): Các đường ngấm thuốc dạng dải bên trong huyết khối đại diện cho các mạch máu nhỏ.
Cộng hưởng từ (MRI)
-
Cường độ tín hiệu: Huyết khối thường có tín hiệu đồng nhất với khối u nguyên phát trên ảnh T1W và tăng tín hiệu vừa phải trên ảnh T2W.
-
Hình ảnh khuếch tán (DWI): Cho thấy hạn chế khuếch tán (tín hiệu cao trên DWI, tín hiệu thấp trên bản đồ ADC), biểu hiện cho mật độ tế bào cao.
-
Sau tiêm thuốc: Tương tự như CT, huyết khối cho thấy sự ngấm thuốc thì động mạch và thải thuốc thì tĩnh mạch.
Chẩn đoán phân biệt
-
Huyết khối thông thường (Bland Thrombus): Một cục máu đông đơn thuần. Khác với huyết khối u, nó không ngấm thuốc sau khi tiêm chất tương phản và không làm giãn đường kính mạch máu đáng kể.
-
Ung thư biểu mô tế bào thận (RCC) lan vào IVC: RCC thường xâm lấn tĩnh mạch thận và IVC. Chẩn đoán thường rõ ràng dựa trên sự hiện diện của khối u nguyên phát tại thận.
-
Ung thư vỏ tuyến thượng thận: Có thể xâm lấn trực tiếp vào IVC; được xác định bởi sự hiện diện của một khối u tuyến thượng thận lớn.
-
Leiomyosarcoma nguyên phát của IVC: Một loại u mạch máu nguyên phát hiếm gặp. Nó thường xuất phát từ thành mạch thay vì xâm lấn từ một khối u gan.
Quản lý và Điều trị
Việc quản lý HCC kèm huyết khối tĩnh mạch chủ dưới rất phức tạp và đòi hỏi cách tiếp cận đa chuyên khoa. Vì được xếp vào giai đoạn bệnh tiến triển, mục tiêu chính thường là điều trị giảm nhẹ, mặc dù các phương pháp điều trị tích cực có thể được xem xét ở một số bệnh nhân chọn lọc.
-
Phẫu thuật cắt bỏ: Trong một số ít trường hợp khối u nguyên phát có thể cắt bỏ và bệnh nhân còn chức năng gan tốt, có thể thực hiện phẫu thuật cắt gan kết hợp với lấy huyết khối tĩnh mạch chủ dưới.
-
Xạ trị: Xạ trị ngoài (EBRT) hoặc Xạ trị định vị thân (SBRT) ngày càng được sử dụng để làm giảm kích thước huyết khối và ngăn chặn nó lan đến tim.
-
Nút mạch hóa chất (TACE): Có thể được sử dụng cho khối u nguyên phát, mặc dù cần thận trọng nếu tĩnh mạch cửa cũng bị tắc nghẽn.
-
Liệu pháp hệ thống: Các thuốc ức chế đa kinase (ví dụ: Sorafenib, Lenvatinib) hoặc liệu pháp miễn dịch kết hợp (ví dụ: Atezolizumab kết hợp Bevacizumab) là tiêu chuẩn chăm sóc cho HCC giai đoạn tiến triển có xâm lấn mạch máu.
-
Thuốc chống đông: Thường không có hiệu quả đối với bản thân huyết khối u nhưng có thể được sử dụng nếu có thành phần huyết khối máu đông thứ phát kèm theo.